1133 Budapest, Tutaj u. 6/b, Cézár-Ház

Rendelési idő: hétfő-péntek 8.00 – 20.00

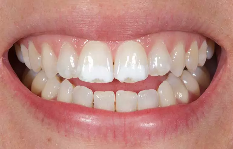
Fehér foltok a fogon – Gyors kezelés fúrás, fájdalom nélkül – Clinident Fogászati Centrum

feher-foltok-a-fogon

Tartalomjegyzék

Időpontot kérek!

Contact Form Demo

A modern fogászati technológia már nem csak arra helyezi a hangsúlyt, hogy hogyan, milyen élethű fogtöméssel építsük újjá a fogat, de a szuvasodás – és a vele járó fog anyagveszteség megelőzésre is. Fontos tehát, hogy milyen gyors, hatékony és fájdalommentes választ adunk a fogszuvasodás legelső jeleire.

Mitől alakulnak ki a fehér foltok a fogon, és mit tehetünk, ha már megjelentek? Mi a legmodernebb, sem érzéstelenítést, sem fúrást nem igénylő kezelés, mellyel eltűnnek a foltok és újra egészségessé tehető a fog?

Mitől keletkeznek fehér foltok a fogon?

A fogakon megjelenő fehér foltok számos különböző okokra visszavezethetők, s mivel bizonyos esetben akár egy lappangó betegség is állhat a kialakult tünetek mögött vagy éppen egy könnyen kivédhető rossz szokás, így érdemes tudni ezekről.

  • Fluorózis: A fluorid kontrollált mértékben támogatja a csontjaink ellenállóképességét, erősíti a fogakat, de a túlzott bevitele (fluorid tartalmú vízfogyasztás mellett fluorid tartalmú tabletta, ecsetelő, fluoridos fogkrém használata) foltos, gyengébb fogzománcot okoz.
  • Korai fogszuvasodás: A fogszuvasodás kezdeti szakaszában a foltos zománc jelezheti a problémát még mielőtt a fertőzés mélyebbre, a fog belsejébe hatolna a fogban.
  • Demineralizáció fogszabályozás alatt: Rossz szájhigiéniával vagy állandó fogszabályozóval rendelkező betegeknél gyakran észlelhető a foltos fogzománc. A fogszabályozót rögzítő bracketek körül a lepedék felhalmozódása savas környezet teremt, amely elvonja az ásványi anyagot a zománcból és gyengíti azt. Így fehér foltok alakulnak ki a fogakon.
  • Zománc hypoplasia: Ez az állapot fejletlen zománcot jelent, vagyis fejlődéskor nem mineralizálódott megfelelően, nem épültek be maradéktalanul az ásványi anyagok. Olyan okokra vezethető ez vissza, mint a fertőző betegségek, felső légúti betegségek, gyógyszerek, ásványi anyag hiány.
  • Helytelen táplálkozási szokások: A savas ételek és italok fogyasztása erodálja, gyengíti, kikezdi a zománcot és fehér foltokat okoz. A magas cukor és keményítő tartalmú ételek is elősegítik a savas környezet kialakulását, így pedig a zománc gyengülése, mint a fogszuvasodás tünete áll elő.
  • Cöliákia: Kutatások megállapították, hogy bizony létezik kapcsolat az autoimmun cöliákia és bizonyos fogászati betegségek között.

A táplálék feldolgozása során a glutén egyik összetevője módosul, ami az immunrendszert antitestek termelésére készteti. Ezek az antitestek aztán hibásan a fogzománc kialakulásáért felelős fehérjékhez kötődnek, s a zománc rendellenes fejlődését okozzák.

Ennek az autoimmun betegségnek szerepe van még gyermekkorban a rendellenes fogzás -, a fogak késleltetett előbújásában, későbbiekben a rendellenes fogzománc kialakulásában, de akár a szájüregi afta vagy a fogínygyulladás is könnyebben alakul ki a betegség hatására.

  • Genetika: A zománcfejlődés rendellenességét genetikai tényezők is kiválthatják, tehát vannak akik hajlamosabbak lehetnek a fehér foltok kialakulására.
  • Sérülés, beleset: A fejlődő fogat érő fizikai trauma megzavarhatja a zománcképződést, ami a fehér foltok, vagyis a kevésbé ellenálló fogzománc kialakulásához vezethet.

Így alakulnak ki a fehér foltok a fogon

1. Plakk képződés:

A fogakon, fogszabályozón, fogpótlásokon már fél órával a fogmosás után egy erősen tapadó bakteriális filmréteg kezd kialakulni, amiből aztán a lepedék és a fogkő is képződik. Ezt a bakteriális réteget csak a rendszeres és a helyes fogmosási technikával lehet eltávolítani. A probléma abból ered, ha a szájban, a fogak barázdáiban, a fogközökben pang az ételmaradék.

Neked ajánljuk:

Irányított biofilm terápia – legkorszerűbb fogkőeltávolítás

Hogyan szabaduljunk meg a szuvasodást és ínygyulladást okozó baktériumoktól?

Mi a biofilm terápiás fogtisztítás menete és kinek ajánljuk?

2. Savtermelés:

A baktériumok a maradékokból származó keményítőt és cukrot bontják le, s a folyamat melléktermékeként savak termelődnek.

A savak csökkentik a száj egészséges pH-ját, s amikor az 5,5 alá esik, akkor megindul a demineralizálódási folyamat. Ilyenkor az emberi fogazat zománcrétegéből fontos, az ellenállóképességét biztosító ásványi anyagok (pl.: kalcium, foszfát) oldódnak ki.

3. Fehér foltok kialakulása:

Az ásványi anyagok kioldódásával megbomlik a zománc kristályos szerkezete és porózus felületet jön létre. A felszínen keletkezett pórusokon át aztán könnyebben a mélyre hatolhat a szuvasodást okozó baktérium.

A demineralizálódott területek az egészséges zománchoz képest azért fehér foltokként jelennek meg, mert a porózussá vált zománc fénytörése megváltozik.

Fogzománc erősítő Icon terápia – Ha a fogon fehér folt jelenik meg

Az Icon terápia legfőbb ismérve a mikroinvazív jellege, melynek célja az, hogy a lehető legtöbb természetes fogszövetet megőrizzék a kezelés során, miközben továbbra is elérjék a kívánt eredményt. A fogászatban a mikroinvazív eljárások különösen a fogszerkezet minimális megváltoztatására irányulnak egy betegség kezelése vagy megelőzése érdekében.

Az Icon DMG olyan innovatív fogászati anyag, mely egyszerűen kezeli a foltos, porózus felszíneket, a meggyengült zománcréteget.

Míg korábban nem volt mód rá, hogy a sérült zománcra az invazív fúrás vagy csiszolás nélkül tartós ellátást biztosítsanak, addig az Icon kezelés a páciensnek fájdalommentességet, a zománc szerkezetnek pedig kíméletes és hatékony megoldást kínál a szuvasodás okozta fehér foltokra, a meggyengült zománc helyreállítására.

Milyen esetekben ajánlott az Icon terápia?

  • A fehér foltokra (kezdődő szuvasodások, traumás elszíneződések, fluorózis…stb.), azok porózus felszínének helyreállítására.
  • A nehezen tisztítható fogközökből induló, kezdődő szuvasodások modern, fúrás nélküli ellátására.
  • A mosolyzóna esztétikailag kényes területének, azaz a front fogak esztétikus helyreállítására, azok foltosságának megszüntetésére.
  • A fehér foltok a fogakon gyerekeknél is kezelhető Iconnal, így az a legjobb, ha mihamarabb orvoshoz fordulunk a problémával.

Mit olyat tud az Icon, amit más kezelések nem?

  • Az Icon Németországban készül, szabadalmaztatott technológia alapján.

     
  • Az Icon egy modern és innovatív kezelés lehetőségét biztosítja.
     
  • Az Icon terápiához nincs szükség érzéstelenítésre, teljesen fájdalommentes.
     
  • Az Icon lehetővé teszi a fogszuvasodás kezelését fúrás- és az egészséges fogszerkezet szükségtelen elvesztése nélkül.
     
  • Az Icon terápia gyors és kényelmes, csupán egyetlen kíméletes és precíz kezelés szükséges a fog ellátására.

A gyors és fájdalommentes Icon kezelés menete

Az Iconnal a fog tehát mikroinvazívan kezelhető, a kiterjedt szuvasodás megelőzhető, az ellenálló fogfelszín még azelőtt helyreállítható, hogy egy fúrással járó kezelés szükségessé válna.

A megfelelő előkészítést követően az Icon az infiltrációnak, vagyis a pórusokba való beszivárgásának köszönhetően a mikroszkópikus pórusokat kitölti és ott megkeményedik. Az így kezelt terület pedig tökéletesen illeszkedik, teljesen hasonul az egészséges fogzománchoz.

A kezelés lépései:

1.  A kezelendő fogat mechanikusan megtisztítják a szennyeződésektől

2. A fogat izolálják, ínytől, ajkaktól, nyelvtől eltartják

3. A porózus felszínt egy közepesen durva polírozó koronggal kezelik, majd egy savas anyaggal előkészítik

4. A fogfelszín lemosása és speciális szárítása után következik az infiltráció – az anyag beszivárogtatása a felszín pórusaiba

5. Az anyag megszilárdulásához UV lámpát használnak

6. Az Iconnal feltöltött zománcfelszínt zárásként fényesre polírozzák.

Top 3 szuvasodást megelőző technológia – Clinident fogászat, 13. kerület

A fogászatunkon elérhető innovatív kezelések -mint amilyen például az Icon terápia, a mikroszkópos gyökérkezelés vagy a GBT-, mindig az adott terület legfontosabb technológiai vívmányait alkalmazzák a páciens ellátása során, így magas minőségű ellátást tesznek lehetővé.

Ez a 3 legbiztosabb szuvasodást megelőző kezelés:

Az alábbi 3 kezelés a létező legmodernebb eszköz a fogászati betegségek megelőzésére. Ezek kombinálásával hatékonyan kivédhetők a költségesebb kezelések, szép, egészséges fogak és jó szájhigiénia tartható fenn.

GBT – Irányított Biofilm Terápia:

A fogkőképződésért és szuvasodásért is felelős, szabad szemmel nem látható baktérium réteg eltávolítása is megtörténik a speciális GBT fogkőleszedés során. Ennek a bakteriális biofilm rétegnek a rendszeres (6 havonkénti) eltávolításával egyre kevesebb kemény fogkő képződik, javul a szájhigiénia, csökken a szuvasodás kockázata, meggyógyul az ínygyulladás, elmúlik a fogínyvérzés, megszűnhet a rossz lehelet.

Barázdazárás:

Moláris fogak mély rágófelszíni barázdáinak feltöltésével a szuvasodást előzhetjük meg. Ezeken a területeken ugyanis az egyik legmagasabb a szuvasodás kockázata. A barázdazárás fizikai akadályt képez az élelmiszerek, baktériumok és lepedék előtt, valamint a rágófelszín könnyebb tisztíthatóságát nyújtja a páciens számára.

Icon DMG – Modern, fúrás nélküli technológia:

A mosolyzóna és a nehezen tisztítható fogközök fogfelszíneiről kiinduló kezdődő szuvasodások, fehér foltok, fluorózis, traumás elszíneződések teljesen fájdalommentes, gyors ellátását adja. Segítségével a súlyos szuvasodás és az ebből adódó komplexebb és költségesebb kezelések előzhetők meg.

Fogorvosaink véleménye az Icon kezelésről

  • A foltos fog kezelése során évek óta sikerrel alkalmazott Icon terápia egy mikro-beavatkozásnak számító kezelés típus.
  • Az eljárás semmilyen fájdalommal és kényelmetlenséggel nem jár, így az érzéstelenítés is szükségtelenné válik. Azon pácienseknek igazi megváltás, akik félnek a fogorvostól, az érzéstelenítő injekciótól vagy a fúró hangjától.
  • A kezelés során fúró használata nélkül vagyunk képesek a kellemetlenséget és esztétikai problémát okozó folyamatba beavatkozni.
  • Az anyag zománcfelszínbe való beszivárogtatásával annak szerkezetét, stabilitását és ellenállóképességét javítjuk és állítjuk helyre.
  • Az Icon kezelés a fog épségének megőrzésével és fenntartásával meghosszabbítja annak élettartamát
  • Olcsóbbak, mint az invazívabb kezelések, mivel kevesebb anyagot és kevesebb székben eltöltött időt igényelnek.

Mit tegyünk ha foltot találunk a fogainkon?

Tudjuk tehát, hogy a fogzománcon megjelenő fehér folt egy külső, kezdetben apró, felszíni zománchiba. Sokszor a szuvasodásért felelős baktérium okozza, de sajnos akár egy autoimmun folyamat, vagy fejlődési zavar is állhat a háttérben. Idővel azonban – a foltok porózussága miatt-, bizonyos, hogy mélyebb szuvasodást és elhanyagolt külsőt kölcsönöznek.

Neked ajánljuk:

Barázdazárás – Miért fontos az időzítés, kinek, mikor végezzük

Hogyan előzzük meg a foltos felszínt, a szuvasodást a rágófogakon?

Mik a barázdazárás előnyei és hátrányai?

Fehér foltok a fogakon – Eltüntetése, kezelése:

1.  Amennyiben komolyan vesszük a felbukkanását és időben állapotfelmérésre jelentkezünk a tünetekkel, akkor valószínűleg még minden kellemetlenség visszafordítható a folyamat.

2.  A fogaink foltos elszíneződését a fogorvos gyorsan és hatékonyan képes eltüntetni fiatal- és felnőtt korban is a fogzománc erősítő Icon terápia segítségével.

3.  A kezelés után fontos lesz nagyobb hangsúlyt kell fektetni az otthoni szájápolásra, a helyes fogmosásra és a rendszeres ultrahangos fogkőeltávolításra, fenntartva ezzel is a megfelelő szájhigiéniát.

 

Az oldalt lektorálta: Dr. Czigler Péter

Kérjen időpontot!

Blog-alsó

Kapcsolodó tartalmak

Jelentkezzen be vizsgálatra!