1133 Budapest, Tutaj u. 6/b, Cézár-Ház

Rendelési idő: hétfő-péntek 8.00 – 20.00

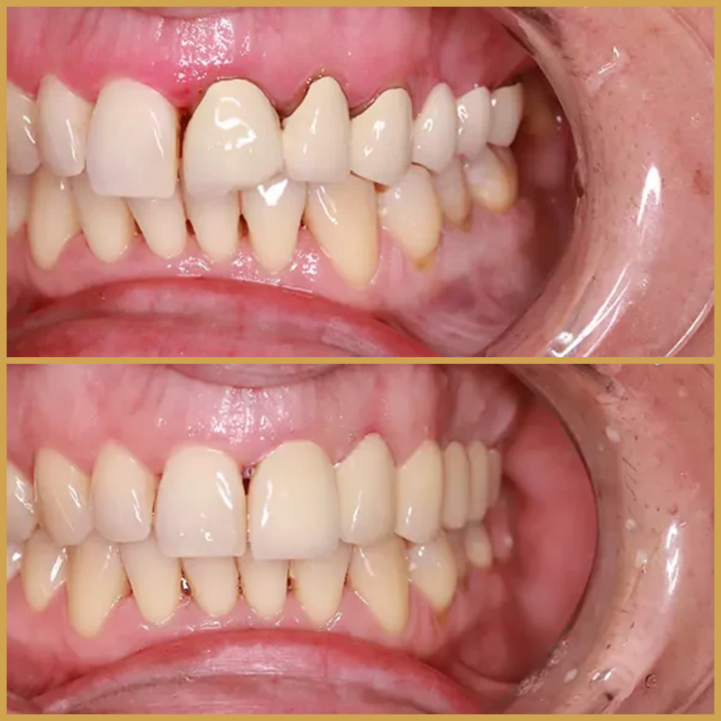
Sikertörténeteink

A fiatal és igen aktív életet élő hölgy páciensem azért jelentkezett hozzánk az első konzultációjára, mert a bal felső, második kisörlő (25-ös) foga letörött.
Páciensem általános állapotfelmérésre jött.
A hölgy kezelését 2023-ban vettem át, a korábban megkezdett kezelésének folytatására érkezett hozzám.
61 éves hölgy páciensem az állapotfelmérés alkalmával esztétikai problémákról számolt be. Leginkább a mosolya fénye kopott meg az évek alatt, elégedetlen volt a fogak megjelenésével, mosolyrendezést szeretett volna.
Természetesen szép mosolyt és egészséges fogakat szeretett volna, mert sem a fogak formájával, sem a fogak színével, sem a foghiányt takaró pótlásával nem volt elégedett.
Páciensemnek az jelentette a legfőbb problémát, hogy a fogazata hiányos volt, a fogai elszíneződtek és kopottak voltak.
Negyvenes férfi páciensem letört fogak-, egy nagymetsző körüli gyulladásos tünetek és egyenetlen mosolykép miatt érkezett hozzám.
Páciensem állapotfelmérésre és szájsebészeti konzultációra érkezett klinikánkra, teljes szájrendezés és a korábban, más intézményben megkezdett kezelések befejezése céljából.
Páciensem eredetileg ultrahangos fogkőeltávolításra érkezett dentálhigiéniai szakrendelésünkre. A vizsgálat során azonban jelentős mennyiségű fogkő, ínyrecesszió és fogszuvasodás gyanúja merült fel, ezért részletes fogászati állapotfelmérésre irányították hozzám.

Jelentkezzen be vizsgálatra!

Telefonos bejelentkezés

06 1 801 2250