Cirkon fog – Elveszett, letört fog pótlása cirkon implantátummal
Főoldal / Sikertörténetek / Cirkon fog – Elveszett, letört fog pótlása cirkon implantátummal
Tartalomjegyzék
Időpontot kérek!
Milyen problémával jelentkezett a páciens?
A fiatal és igen aktív életet élő hölgy páciensem azért jelentkezett hozzánk az első konzultációjára, mert a bal felső, második kisörlő (25-ös) foga letörött.
A letört fog korábban, máshol már gyökérkezelésen is átesett.
A gyökérkezelt fogakról fontos tudni, hogy a kezelés után már nem mindig terhelhetők ugyanúgy, mint korábban. A fog szerkezete meggyengül és törékennyé válik. Éppen ezért manapság, hosszútávra már nem is a hagyományos fogtömést ajánljuk egy sokszor tömött, hiányos szerkezetű fog lezárásként, hanem inkább az onlay-t vagy az esztétikus koronát.
Mi volt az elképzelése, milyen megoldást szeretett volna?
Páciensem a legtermészetesebb és legesztétikusabb fogpótlás megvalósítását kérte és azt, hogy egy percet se kelljen fog nélkül maradnia. Munkája folyamatos utazással jár, a kezelés idején is külföldön élt és több ország között folyamatosan ingázott, így az esztétikum mellett fontos volt még a gyorsaság és rugalmasság is.
Mi volt a diagnózis és mi volt a javasolt fogászati megoldás?
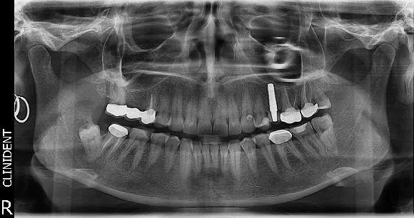
A letört fog alaposabb vizsgálata után a fog eltávolítása mellett döntöttünk. A foghúzás utáni gyógyulási időre egy speciális ideiglenes fogpótlás, az ún. klipsz viselését javasoltam.
A szájsebész pedig a kihúzott fog helyére egy egyrészes cirkon implantátum behelyezését javasolta, melyre kielégítő primer stabilitás esetén természetes és elegáns megjelenésű ideiglenes korona készítését helyeztük kilátásba.
- Az implantátumra készülő ideiglenes koronáról fontos tudni, hogy rágó funkciót még nem tölt be, tehát nem terheljük a rágóerővel. Inkább csak a hiány esztétikus pótlását szolgálja. Azt viszont rendkívül elegáns módon teszi.
A műgyökér gyógyulási idejére, a vele ellentétes oldalon található rossz fém-kerámia híd cseréjét és néhány fogtömést is beterveztünk.
Hogyan zajlott végül a kezelés? Mennyi idő alatt készült el a fogpótlás és értek a kezelés végére?
Az implantátum beültetés során elért megfelelő primer stabilitásnak köszönhetően a beavatkozással egyidőben ideiglenes korona is készülhetett az implantátumra.
Ebben az esetben az azonnali, szék melletti, vagyis rendelőben készülő változatát készítettük el.
A hídcsere és tömések a gyógyulási időszakban, míg a végleges cirkon fog az implantátum csontosodása után készülhetett el.
A páciens által elfogadott kezelési tervvel nem csak a megfelelő szájhigiéniát, de a rágófunkciót és az esztétikumot is sikeresen helyreállítottuk. A teljes kezelés 8 hónapot vett igénybe.
Neked ajánljuk:
Cirkon fog és implantátum – A hipoallergén és esztétikus pótlás
Milyen esetben ajánljuk a cirkon beültetését?
Hogyan zajlik a teljes cirkon fog készítése?