1133 Budapest, Tutaj u. 6/b, Cézár-Ház

Rendelési idő: hétfő-péntek 8.00 – 20.00

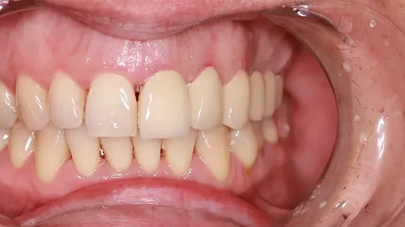
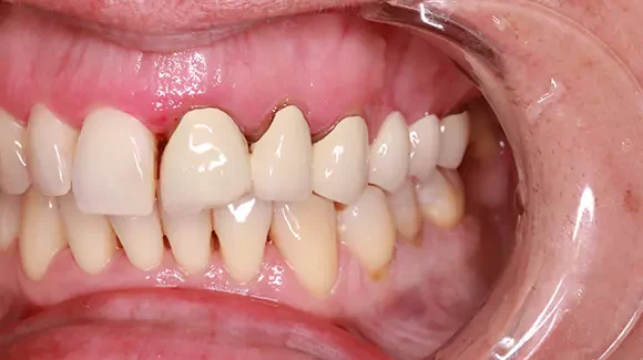
Cirkon híd – Fogazat helyreállítása esztétikus fogpótlással

Esetbemutatás

Tartalomjegyzék

Időpontot kérek!

Contact Form Demo

Szerző / Kezelőorvos

Dr. Sas Krisztina

Kezelés végző fogorvos

Clinident Fogászat – Budapest

Milyen problémával jelentkezett a páciens?

Páciensem általános állapotfelmérésre jött. A bal felső hídja rossz állapotban volt, megcsúnyult és régi volt. A hölgy dohányzott, mely mellett a szájhigiéniája is az ideálisnál jóval elhanyagoltabb állapotba került. Ennek legfőbb oka, hogy régen járt fogorvosnál, illetve, hogy korábban sosem volt olyan precíz dentálhigiéniás kezelésen, ahol a helyes fogmosást megtanították volna, azaz motiválás és instruálás is történt volna.

Dohányzás mellett a szájhigiéniára mindig nagyobb figyelmet kell fordítani, mint általában. Sűrűbben kell fogkőeltávolításon és fogorvosi szűréseken részt venni, alapos szájápolási gyakorlatot kell elsajátítani, hogy a dohányzás komolyabb szövődményeit, a fogínysorvadást és szájüregi betegségeket megelőzhessük.

 

Mi volt a páciens elképzelése, milyen megoldást szeretett volna?

Már az első konzultáción kiderült, mi volt az oka az elhanyagoltságának: nagyon félt a fogorvostól és a fájdalmas kezelésektől.

Mégis, fogainak romló esztétikai összképe segített neki, hogy legyűrje a kezdeti ellenállását és még félelmei ellenére is prioritást élvezzen nála a foghíd mihamarabbi cseréje.

Természetesen a fogazata helyreállítását teljes fájdalommentesség mellett szerette volna megoldani.

Mi volt a javasolt fogászati megoldás, hogyan zajlott a kezelés?

A kezelése komplex nézőpontot igényelt, így Dr. Koncz Andrea doktornőhöz irányítottam parodontológiai konzultációra, hogy a szájápolási teendői is le legyenek fektetve.

A kezelési tervében a fogkő-eltávolítás után fogtöméseket, ínygyulladás megszüntetésére pedig Irányított Biofilm Terápiát javasoltunk, valamint a régi híd helyett esztétikus cirkon híd készítését terveztük el.

Neked ajánljuk:

Fogkorona típusok és anyagok. Esztétikus, fémmentes, elegáns

Allergén mentesen a cirkóniummal és a teljes kerámia koronákkal

Porcelán fogkorona árak – Clinident Fogászat, Budapest

Hogyan zajlott végül a kezelés, mennyi idő alatt készült el a fogpótlás?

fogkő-eltávolítást követően kezdődött a parodontológiai terápia, mellyel párhuzamosan 7 db fogtömést készítettünk el. Végül a régi híd cseréje következett, melynek elkészültéig ideiglenes fogpótlást viselt a fogak védelméért és az esztétikus megjelenésért.

A hölgy már a konzerváló kezelések során megbizonyosodott arról, hogy biztonságban van, a kezelések valóban fájdalommentesek, így alkalomról-alkalomra egyre magabiztosabban érkezett a kezelésekre.

Ahogy számtalan esetben úgy ennél a páciensemnél is beigazolódott, hogy minél hamarabb alakul ki a kölcsönös bizalom, annál nyugodtabban és gördülékenyebben vághatunk bele olyan nagyobb kezelésekbe, mint például egy porcelán híd elkészítése.

Végül mindent a kezelési terv ütemezése szerint sikerült elkészíteni. A kezelés összesen 5 hónapig tartott, s a látványos végeredmény mellett a páciens másik nagy sikerélménye, hogy végre örömmel jár a fogászatunkra.

Kollégáim nevében is köszönjük a bizalmát és az együttműködését!

Fogblog

Jelentkezzen be vizsgálatra!