Cirkónium híd pótlás, új mosoly, előtte-utána képek, esetleírás – Clinident Fogászati Centrum
Főoldal / Sikertörténetek / Cirkónium híd pótlás, új mosoly, előtte-utána képek, esetleírás – Clinident Fogászati Centrum
Tartalomjegyzék
Időpontot kérek!
Szerző / Kezelőorvos
Közreműködő orvosok:
Parodontológiai terápia: Dr. Ujj Krisztina
Implantológiai beavatkozás: Dr. Kovách Sándor
Dr. Hornyák Dóra a Clinident Fogászat fogorvosa, aki a komplex fogpótlási eseteket esztétikai, funkcionális és parodontológiai szemlélettel közelíti meg. Munkájában kiemelten fontos a hosszú távon is fenntartható megoldások kialakítása, különösen olyan esetekben, ahol régi fogpótlások, ínyproblémák és foghiányok egyszerre vannak jelen.
Páciensem története — panasz és kezdeti állapot
Páciensem eredetileg ultrahangos fogkőeltávolításra érkezett dentálhigiéniai szakrendelésünkre. A vizsgálat során azonban jelentős mennyiségű fogkő, ínyrecesszió és fogszuvasodás gyanúja merült fel, ezért részletes fogászati állapotfelmérésre irányították hozzám.
A páciens utoljára körülbelül 4 évvel korábban járt fogkőeltávolításon, míg fogorvosi szűrővizsgálaton legalább 9 éve nem vett részt. Panaszai nem voltak, ami gyakori jelenség: a fogágybetegség és a régi fogpótlások problémái sokszor hosszú ideig tünetmentesen zajlanak.
Mi volt a diagnózis és a kezelési stratégia?
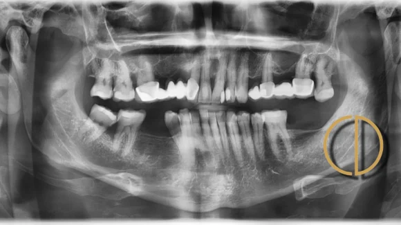
A felső fogsorban található hídpótlások (12–16 és 24–27 között) több mint 20 évesek voltak.
A vizsgálat során:
- kiterjedt kopást,
- lepattant kerámiarészeket,
- a pótlások széli záródásánál szuvasodás jeleit észleltük, ezért a pótlások cseréje szakmailag elkerülhetetlenné vált.
Az alsó fogsoron stratégiailag fontos rágófogak hiányoztak. A legutolsó, hátsó fogak hiánya különösen megnehezíti a fogpótlás tervezését, mivel teljes értékű, jól terhelhető hídpótlás ezek nélkül nem készíthető. Ilyen esetben reálisan két lehetőség jön szóba:
- kivehető kombinált fogsor,
- vagy implantátumokra rögzített hídpótlás.
A diagnózis részeként jelentős ínyvisszahúzódást és több fog mozgathatóságát is megállapítottuk, ezért a páciens parodontológiai konzultáción is részt vett. A fogágykezelés nemcsak a gyulladás megszüntetése miatt volt fontos, hanem azért is, hogy pontosan meghatározzuk, mely fogak tarthatók meg a fogpótlási tervben.
Hogyan zajlott a kezelés lépésről lépésre?
A kezelési folyamat parodontológiai terápiával és a régi fogpótlások eltávolításával indult.
A terápia során:
- teljes kürettálás történt,
- 5 foghúzás, eltávolítás vált szükségessé,
- 1 fog esztétikus fogtöméssel került ellátásra.
A fogágy gyógyulási időszakára jól záródó, hosszú távú ideiglenes fogpótlást készítettünk. Ez nemcsak esztétikai és funkcionális szempontból volt fontos, hanem lehetőséget adott arra is, hogy a páciens elsajátítsa a személyére szabott, helyes szájhigiénés technikát.
A sikeres parodontológiai kezelés után 3 hónappal:
- Szájsebész kollégánk 2 darab fogimplantátumot ültetett be a felső állcsontra, melyet 5 hónapos gyógyulási idő követett.
- A felső fogsor funkcióját és esztétikáját cirkónium koronák és cirkon fogászati hidak állították helyre.
Miért ideális megoldás a cirkónium hídpótlás ilyen esetben?
A cirkónium hídpótlás fémmentes, nagy teherbírású és esztétikailag is kiemelkedő megoldás.
Előnyei:
- természetes hatású megjelenés,
- jó ínytolerancia,
- hosszú távú stabilitás,
- megfelelő rágófunkció biztosítása.
Parodontológiai előzmények esetén különösen fontos a pontos illeszkedés és a jól tisztítható kialakítás, amelyben a cirkónium kiváló választás.
Eredmények – mit nyert a páciens?
A páciens első lépésben a felső fogsor és a mosolyzóna rendbetételét kérte.
A kezelés eredménye*:
- Stabil, jól terhelhető felső fogsor
- Jelentősen javuló mosolyesztétika
- Egészségesebb ínyállapot
- Könnyebben tisztítható, modern fogpótlások
- Magabiztosabb megjelenés és komfortérzet
*Az eredmények egyénenként eltérhetnek; a kezelés kimenetelét befolyásolja a kiindulási állapot, a csontállomány, a harapási viszonyok és az együttműködés mértéke.
Az alsó fogsoron ebben a kezelési ütemben nem készült végleges pótlás, ott kizárólag a szanálást – foghúzást és kürettálást végeztük el. A páciens a kezelés folytatására nyitott: hosszabb távon az alsó fogsor funkcióját implantátumokra rögzített hidakkal szeretné helyreállítani.
Orvosi visszatekintés – Dr. Hornyák Dóra
Ez az eset jól mutatja, hogy egy egyszerűnek tűnő fogkőeltávolításból hogyan derülhet fény komplex fogászati problémákra. A parodontológiai terápia, az implantáció és a cirkónium hídpótlás összehangolt alkalmazásával hosszú távon fenntartható, esztétikus és funkcionális megoldást sikerült kialakítani.
Gyakran ismételt kérdések – GYIK
Mennyi ideig tart egy ilyen kezelés?
A teljes folyamat – a fogágykezeléstől a végleges pótlásig – több hónapot vehet igénybe.
Miért fontos a parodontológiai kezelés a fogpótlás előtt?
Mert ínygyulladásra, gyulladásban lévő fogágyra nem lehet tartós fogpótlást készíteni.
A cirkónium híd mennyire tartós?
Megfelelő tervezéssel és rendszeres kontroll mellett hosszú távon is megbízható megoldás.
Kapcsolódó tartalmaink – mélyebben is érdekel a téma?
- Fogínysorvadás kezelése modern módszerekkel: https://clinident.hu/foginysorvadas-okai-es-kezelese-a-legmodernebb-modszerekkel/
- Cirkónium korona vagy teljes kerámia – melyik, mikor ideális: https://clinident.hu/cirkon-korona-vagy-teljes-keramia-korona-melyik-a-jobb/
- Implantátummal rögzített fogászati hidak előnyei: https://clinident.hu/fogpotlas-foghianyra-ezek-a-legjobb-megoldasok/