1133 Budapest, Tutaj u. 6/b, Cézár-Ház

Rendelési idő: hétfő-péntek 8.00 – 20.00

A fogciszta szövődményei, gócbetegséget okoz a ciszta a szájban

fogciszta-hatasa-a-szervezetre-580x325 (1)

Tartalomjegyzék

Időpontot kérek!

Contact Form Demo

Ha a tömésnél és a húzásnál komolyabbnak tűnő fogászati beavatkozások kerülnek szóba, akkor legtöbben rettegve gondolunk a várható fájdalmakra. Nincs ez másként akkor sem, ha a fogciszta eltávolítás a cél.

De vajon tényleg olyan fájdalmas ez az eljárás, vagy rutin beavatkozás keretein belül, teljesen fájdalommentesen is kivitelezhető? Ahhoz, hogy ezt megértsük, érdemes tisztában lennünk azzal, hogy mi is az a fogászati ciszta és hogyan fedezhetjük fel a létezését.

Ciszta a szájban

A ciszták olyan hámszövettel határolt tokok, amelyek folyadékkal vannak tele és tulajdonképpen a szájüregben bárhol elhelyezkedhetnek. Ezek alapján megkülönböztetjük a fog eredetű cisztákat és a nem fog eredetűeket. Míg az utóbbiak eltávolítása általában kórházi körülmények között történik, addig a fog eredetűek kezelése a fogászati székben és egy szájsebészeti fogciszta műtét során történik.

Szájüregi ciszták fajtái

  • Nem fog eredetű ciszták: csont vagy lágyszöveti képletek.
  • Foggyökér ciszta: elhalt fog gyökércsúcsánál levő, folyadékkal teli „hólyag”.
  • Állcsontban maradt fogat körülvevő retineált ciszta: bölcsességfog vagy szemfog esetén jellemző.
  • Perinatális ciszta a baba ínyén: ez a nyálkahártya elváltozás magától elmúlik.

A legfontosabb információk a cisztákról:

  • A ciszták, ezek a folyadékkal teli képződmények időről-időre növekednek, ami kezdetben észrevétlenül történik, de járhat fájdalommal, sőt egyéb kellemetlen fogászati következményei is lehetnek, amennyiben befertőződnek.
  • Az előrehaladott foggyökér ciszta sajnos a fogak elmozdulását is okozhatja, ezért az eltávolítás mindenképpen szükséges.
  • Különös figyelmet érdemelnek az állcsontban megbújó ciszták, ezek ugyanis a csont elsorvadásához vezetnek. Ha az állcsontban található a ciszta, akkor azt is szájsebészeti műtét során metszi ki a szakember vagy elhelyezkedéstől függően felnyitják, és eltávolítják a benne levő folyadékot, mert a fogciszta felszívódása orvosi beavatkozás nélkül nem történik meg.
  • Amikor egy állcsontban maradt fog körül van a ciszta, akkor ahhoz, hogy a ciszta ne eméssze fel a csontot, a fogat is el kell távolítani a gyógyuláshoz.

Így zajlik nálunk a góckutatás! Tudd meg mi a menete és jelentkezz be szakembereinkhez egy szűrővizsgálatra!

Így derülhet ki, hogy van-e cisztád

Általában egy alapos fogászati szűrővizsgálat vagy egy góckutatás során szerzünk tudomást a szájüregi ciszta létezéséről, hiszen ezek a képletek nagyon jól kivehetőek a panoráma röntgen felvételeken. Kezdetben a ciszta tünetmentes lehet, de később már mi magunk is tapasztalhatjuk a kellemetlenségét.

A fogciszta szövődményei az egyes gócbetegségek lehetnekA fogciszta hatása a szervezetre jelentős, hiszen a kórokozók szétszóródnak a szervezetben, így könnyen felütheti a fejét egy-egy olyan kellemetlen tünet, mint a hajhullás, a nőgyógyászati és prosztata problémák vagy éppen a szív- és érrendszeri gondok. Éppen ezért is érdemes rendszeresen részt venni a fogászati szűrővizsgálaton, hogy más járulékos betegséget megelőzhessünk.

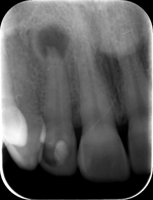
Gyökércsúcsi ciszta keletkezése

1. A baktériumok, a beteg fog gyökerén át a gyökércsúcson keresztül kijutnak a csontba, ott pedig gyulladást idéznek elő.

2. Az itt megrekedt hámsejtek szaporodásával kialakul a ciszta tömlője.

3. A cisztában folyadék termelődik, s a növekvő hólyag nyomást idéz elő a csontban, ami pedig lassanként visszahúzódik, felszívódik.

4. A ciszta folyamatosan növekszik, idővel akár a csontfal is kidudorodhat.

Az előrehaladott foggyökér ciszta tünetei:

  • Nyomásra fellépő tompa fájdalom a foggyökér ciszta területén.

     
  • Befertőződött ciszta esetén akár erős fájdalom is felléphet.
     
  • Fájdalom rágáskor a fokozódó nyomás hatására.
     
  • A gyökér felől a csont domborulata.
     
  • Mozgó fog.

A foggyökér ciszta kezelésének 2 lépése

A fogciszta kezelése attól függ, hogy az milyen területen helyezkedik el. Amennyiben a gyökércsúcsnál van, úgy gyakran elhalt fogról van szó. Egy szuvas fog, egy elhalt fog vagy egy, már régen gyökérkezelt fog esetén is ugyanaz az eljárás. Először a fogat gyökérkezelni kell, mielőtt a ciszta eltávolításához fognánk hozzá.

1. A cisztás fog gyökérkezelése:

Fontos szempont a csúcsig érő és falálló gyökértömés kivitelezése. Ettől a fog a szájüreg irányából teljesen zárt, tehát több baktérium nem juthat ki a gyökércsúcs körüli csontállományba.

Egy régebben már gyökérkezelt fog esetén elsőként eltávolítják a meglévő gyökértömést, -mely rendszerint hiányos is a röntgenfelvételek szerint- majd alaposan áttisztítják a csatornákat, bemérik a hosszukat, végül pedig letömik őket.

A modern gyökérkezelés előnye az a számos digitális eszköz, mellyel pontosan felmérhető a fog állapota: pontosan meghatározható a csatornák hossza, valamint feltárhatók azok a csatornák vagy csatorna elágazások is, melyek -korábban a 2 dimenziós röntgenen- rejtve maradtak.

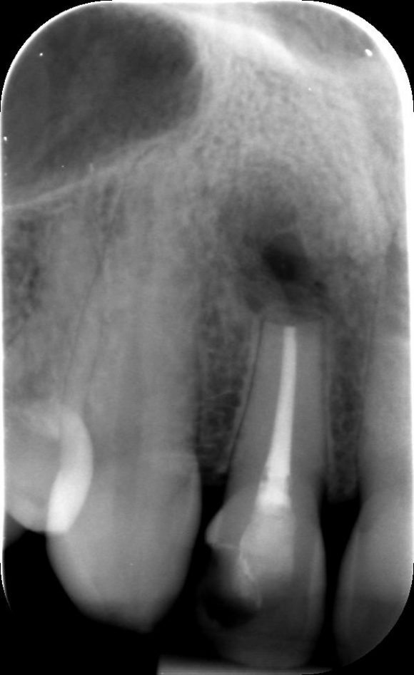
2. Gyökércsúcs rezekció – Így történik a fogciszta eltávolítása

1. Néhány nappal a gyökérkezelést követően a rezekciót is el kell végezni, ami a steril előkészületekkel és a receptírással együtt is kb. 60 perc alatt kényelmesen elvégezhető.

2. A helyi érzéstelenítés beadása után az ínyen bemetszést ejt az orvos, majd szabaddá teszi a csontfelszínt. Szájsebészeti fúróval egy kisebb csontablakot készít, melyen keresztül eléri a foggyökér csúcsát, valamint a cisztát.

3. A ciszta eltávolítása lépésről-lépésre történik, ügyelve arra, hogy annak hámbélését is teljesen kiszedje az orvos, mellyel megelőzzük a probléma kiújulását.

4. A gyökér „csúcsa” a csontablakon keresztül, úgynevezett retrográd gyökértömést kap, ami a gyökér amputált végének speciális lezárását jelenti.

5. A Clinidentnél arra is lehetőség van, hogy szükség esetén a csonthiányt csontpótló anyaggal töltsük fel, ezzel visszaállítva annak eredeti állapotát. Gyakran még a fog eltávolítása sem szükséges, hiszen nélküle is megoldható a ciszta teljes eltávolítása.

6. A műtét végén a sebet varratokkal látják el és antibiotikumot ír fel az orvos.

A rezekció nem más, mint a gyökércsúcsnak a cisztával együtt történő eltávolítása. Így megőrizhető a saját fog, a beteg szövetektől pedig megszabadulhatunk. A beavatkozás helyi érzéstelenítés mellett történik és teljesen fájdalommentes.

Ezekben az esetekben szükséges a gyökércsúcs rezekció:

  • Krónikus gyökércsúcsi gyulladás esetén.
  • Görbült gyökér esetén, mely ellehetetleníti a gyökérkezelés csúcsig érő elvégzését.
  • Többszörös, sikertelen gyökérkezelést követően.
  • Gyökértömés ellenére sem tünetmentes a fog.

Gyökércsúcs rezekció után:

A 3 legfontosabb dolog a fogciszta műtét után:

1. A felírt gyógyszert, antibiotikumot az ajánlás szerint, végig be kell szedni.

2. Varratszedésre kb. 10-12 nap után kerül sor.

3. Kontroll vizsgálatra a műtét után 3 és 6 hónappal is jelentkezni kell.

Ciszta eltávolítás után ezekre figyelj!

Étkezés: Csak a zsibbadás elmúlta után ajánlatos enni, hogy elkerüljük a sérüléseket, sebeket.

Fájdalom: Fájdalomcsillapító szedésével a kellemetlenség gyorsan elmúlik és a varratszedésre már csupán halvány emlékké lesz.

Pihenés: Ne erőlködj és kerüld a nehéz fizikai munkát.

Foltok: A műtét természetes velejárója a véraláfutás, a lilás elszíneződés. Nem jelentkezik mindenkinél és lassanként el is múlik.

A ciszta csak a fog eltávolításával együtt megoldható? Akkor neked a foghúzás utáni tanácsokra van szükséged! Minden, foghúzás utáni fontos info egy helyen.

Duzzanat: A szövetek között felhalmozódott folyadék duzzanatot vált ki, melyet a száj eltartása, a szájnyitás, vagy érzéstelenítés is okozhat. Óvatos jegeléssel kezelhető: óránként 10 percig hűtsük a területet kívülről, de fontos, hogy ne fázzon az arc.

Dohányzás: A dohányzás még az ép nyálkahártyának sem tesz jót, de a sebek gyógyulására különösen nincs jó hatással. A károsanyag tartalom hátráltatja a gyógyulást és gyulladást idézhet elő, ezért legalább 3-5 napig tilos a dohányzás.

Fog és szájápolás: A műtét napján sem lehet kihagyni, sőt jobb, ha minden étkezés után elvégezzük! A gyors gyógyuláshoz fontos a jó szájhigiénia. A személyre szabott, pontos utasításokat a műtét után, a szájsebészeinktől kapod meg.

Amennyiben a bölcsességfog műtétre került sor, a cisztát pedig a bölcsességfoggal együtt kiműtötték, akkor a műtét utáni tünetekről és a gyors gyógyuláshoz szükséges teendőkről itt olvashatsz.

Mit tehetünk a fogciszta ellen?

Kialakulása sajnos sok esetben a pácienstől független, nem mindig tehetünk a megelőzésért. Vannak, akiknél nincs is egyértelműen behatárolható kiváltó ok, de természetesen az elhanyagolt szuvasodás nyomán is kialakulhat.

A legtöbb, amit tehetünk a precíz szájápoláson túl, hogy megelőzzük a foggyökér ciszta kialakulását, az a rendszeres fogászati állapotfelmérés és szűrővizsgálat és az évenkénti fogkőeltávolítás.

Fontos tisztában lenni azzal, hogy a nem szakszerű eltávolítás magában hordozza a kiújulás esélyét, ezért mindenképpen tapasztalattal rendelkező szájsebészre kell bízni a fogciszta műtét elvégzését. Ha felmerül a probléma vagy észleljük a tüneteket, netán már fájdalommal is jár a ciszta, akkor az egyedüli megoldást a fogorvos segítsége jelentheti.

Fogciszta eltávolítás a Clinident szakembereivel

Szakembereink az olyan, elsőre bonyolultnak tűnő eljárások során is készséggel állnak rendelkezésre, mint a fogciszta eltávolítás. Nem érdemes halogatni a rendelő felkeresését, hiszen a fogciszta magától biztosan nem fog elmúlni, sőt, idővel egyre több problémát okozhat. A tapasztalatok azt mutatják, hogy a korszerű anyagokkal végzett érzéstelenítést követően semmilyen fájdalommal nem jár a kezelés.

Klinikánkon, a műtéti beavatkozásokat a szájsebészet legjobb szakemberei végzik, akik több évtizedes tapasztalattal rendelkeznek ezen a területen.

A fogciszta tünetei esetén vagy annak gyanújával, esetleg fájdalmas, feszítő érzést tapasztalva érdemes mihamarabb a Clinident fogászat szakembereihez fordulni, akik fájdalommentesen, a lehető legnagyobb odafigyeléssel végzik a rájuk bízott feladatokat.

Kezelést végző orvosaink:

Kérjen időpontot!

Blog-alsó

Kapcsolodó tartalmak

Jelentkezzen be vizsgálatra!