1133 Budapest, Tutaj u. 6/b, Cézár-Ház

Rendelési idő: hétfő-péntek 8.00 – 20.00

Fog implantátum és esztétikus mosoly 13.kerület – Clinident

A1-1-580x325
A1.2-580x325 (1)

Tartalomjegyzék

Időpontot kérek!

Contact Form Demo

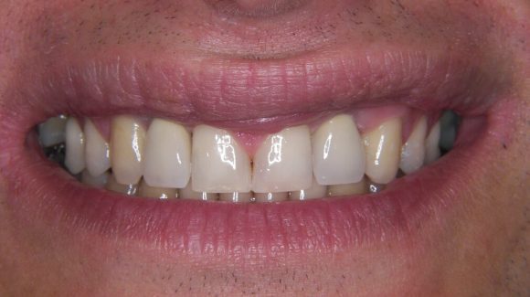
Esetbemutatás: fog implantátumra készülő esztétikus fogpótlások

Clinident Fogászati Centrum szakértő csapata fennállása óta több ezer páciensének adta vissza a felszabadult mosoly élményét. Klinikánkon az egyik legkedveltebb fogpótlás fajta a fog implantátum beültetésre készülő esztétikus korona és foghíd, mellyel akár örökre is elbúcsúzhatunk a nyomasztó foghiánytól.

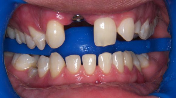
Hagyományos foghíd és implantátumra készülő foghíd György foghiányának megoldására

  • Állapotfelmérés és konzultáció:

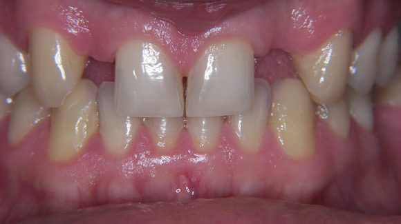
    György 59 évesen úgy döntött, hogy nem adja meg magát az addigra jónéhány fognyi foghiányának, de ugyanakkor a kivehető fogpótlással sem akar együtt élni. A szájsebész rendelésére implantációs konzultációra érkezett. Elsőként a panoráma röntgen alapján teljeskörű állapotfelmérés történt, mellyel a foghiányon túl a meglévő fogak állapotát is fel tudták tárni.

    A szájsebész az egyik protetikában gyakorlott, esztétikai fogpótlások készítésében is jártas kollégájával állította össze a kezelési tervet, hiszen György fogainak markáns lekopását a sajátos élharapása okozta, tehát a teljes felső fogsor restaurációja és az alsó hiányok pótlása volt a terv.

  • Szájhigiénia helyreállítása, gyulladások megszüntetése:

    Fogkő eltávolítás több alkalommal is történt a teljes kezelés folyamán. Elsőként még a műtét előtt, ezután két gyulladt fog húzása követett, melyek már menthetetlennek bizonyultak. A fogkő eltávolítás és foghúzás elvégzésére a műtét előtt azért volt szükség, mert az implantációs műtétet csak a baktérium szám redukálása után lehet elvégzeni.

  • Kezelések fájdalommentesen:

    Valamennyi beavatkozást – a fogkőeltávolítás kivételével – érzéstelenítésben végeztek, mellyel a fogászati kezelések kellemetlenségei minimálisra csökkentek. Az érzéstelenítés általi teljes fájdalommentességnek köszönhetően György a foghúzás után teljes önfegyelemmel, mindenféle fenntartás nélkül vágott bele a műtétekbe.

    Az implantátumok gyógyulására 6 hónapot szántak, mivel a rágó fogak hiánya mellett a foghiány területén csonthiányt is pótolni kellett.

    A műtétet követően a meglévő fogak rendbe tételén volt a hangsúly. A kezelés során készült még néhány fogtömés, az egyik foggyökér gyulladása miatt pedig gyökérkezelés.

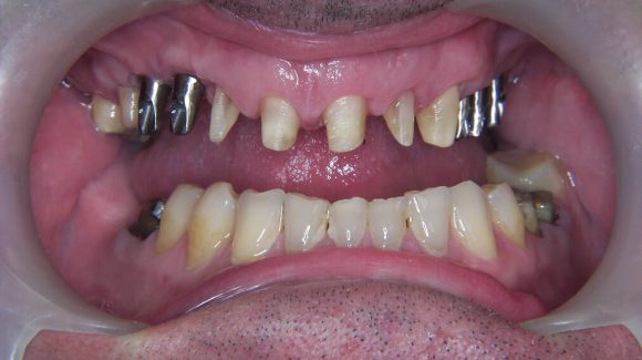
  • Koronák és hidak készülete:

    A gyógyulási idő letelte után az implantátumok feltárásával megkezdődtek a pótlás készítésének folyamatai:

    1. Az implantátum körüli íny esztétikus lefutásáért ínyformázó elemet használtak.
    2. A meglévő, saját fogak lecsiszolásra kerültek, ezzel pedig a fogtechnikai munkálatok is elkezdődhettek: az implantátumra készülő híd vázát speciális felépítményekre készítették el.
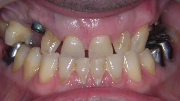
    3. György fémallergiával nem küzd, ezért az olcsóbb, de stabil fémkerámia koronák mellett döntött, a teljes pótlása abból készülhetett.
  • Rendszeres kontroll az implantátumok és a fogak egészségéért

    Mire György koronái és hídjai beragasztásra kerültek, már közel 1 éve volt fogászatunk lelkes látogatója és a dentálhigiénikus kollégánk lelkiismeretes instrukcióinak köszönhetően tökéletesen képbe került az alapos fogmosás és fogtisztítás témakörében.

Elmondása szerint nem túl nagy áldozat a naponta többször több perces, tükör előtti higiéniás procedúra. Az implantátum fogpótlás stabilitása és az esztétikus mosoly visszaadta a magabiztosságát. A fogak elkészültével életminősége olyan mértékben változott, ami összehasonlíthatatlan különbséget jelent a korábbi elhanyagolt fogazatához képest.

Esztétikus és fémmentes szóló fogkorona

  • Veleszületett foghiány

    Márk csírahiányos állapottal küzdött, ami azt jelentette, hogy a felső második metszőfogai soha nem is léteztek, nem bújhattak elő. Minden vágya volt, hogy végre normális mosolya legyen, de ehhez előbb ki kellett várnia a csontfejlődés befejeződését. 21 éves volt, amikor klinikánkra látogatott és a szájsebész konzultációján -az állapotfelmérés után- összeállították számára a kezelési tervet.

  • Esztétikus mosolyalkotás implantációval

    Két implantátum beültetése után fél évvel vettek lenyomatot a fogairól, amely alapján a fogtechnika elkezdte a 2 db fémmentes fogkorona készítését. Mivel esztétikailag kiemelt helyen történt a beavatkozás, cirkónium felépítményt kapott, hogy tökéletesen élethű cirkon korona készülhessen.

  • Magabiztos megjelenés

    A végeredményt tekintve a fiatalember tökéletesen elégedett volt.

Elmondása szerint valahányszor a tükör előtt áll, mindig szán 1-2 percet arra, hogy gyönyörködjön a végre normális mosolyában.

Gellért sportsérülését hoztuk helyre implantátum beültetés segítségével

  • Balesetben vesztett fog pótlása

    Gellért régóta sportol, de egy edzésen történt baleset miatt, egy rosszul sikerült ütés nyomán oly mértékben sérült a front foga, hogy azt a szájsebészeti beavatkozás során kellett végül eltávolítani. foghúzás jól sikerült, csontveszteség nélkül, ami gyors sebgyógyulást eredményezett, majd néhány héttel később a fogimplantátum is beültetésre került.

  • Esztétikus ideiglenes pótlás azonnal

    A gyógyulási időszakban Gellért egyfajta speciális hídpótlást kapott, mely, mint ideiglenes korona takarta a foghiány területét. Ez a Maryland híd két szárnyacskával az oldalain a szomszédos fogakhoz rögzült egy speciális ragasztóval.

  • Mosolyhelyreállítás porcelán koronákkal

    A kontrollált és zavartalan gyógyulást követően, a beültetés után 6 hónappal megkezdődhetett a mosoly helyreállítása. Itt azonban már nem csupán a foghiányra koncentráltunk, a teljes – esztétikailag fontos- front terület egységesítése volt a cél. Felső fogakra és a fogbeültetésre 6 db fémmentes, teljes kerámia korona készült. Az eredetire megtévesztésig hasonlító porcelán korona fog pótlások igen vonzó mosollyal ruházták fel viselőjét.

Kérjen időpontot!

Blog-alsó

Kapcsolodó tartalmak

Jelentkezzen be vizsgálatra!