Cirkónium korona előtte – utána
Főoldal / Sikertörténetek / Cirkónium korona előtte – utána
Valamennyi páciensünknek megvan a saját élettörténete ugyanúgy, mint a javítani kívánt fogaiknak is. A cirkónium korona széles körű felhasználása azonban lehetővé teszi, – hogy problémától függetlenül-, gyönyörű, esztétikus, 100% allergén mentes fogpótlással élethű és természetes mosolyt nyerjünk.
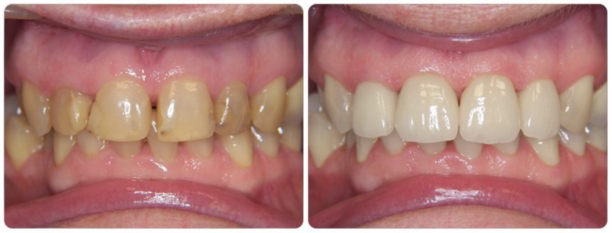
„A hölgy fémkerámia pótlása még a fogfehérítések kora előtt készült. Néhány évig jó szolgálatot is tett viselőjének, ám páciensünk – érthető okokból- fehérebb fogakat szeretett volna. Esztétikában jártas szakértő fogorvosával megállapodtak a cirkónium koronák készítésében, mellyel nem csupán fehérebb mosolyt varázsoltak, de a fogak formáját is kecsesebbé, finomabb nőiesebb megjelenésűvé alkották újra.”
Sok páciensünk szenved attól, hogy a fogaik menthetetlenül elszíneződtek, magabiztosságuk és önbizalmuk is csorbul, hátha még a munkájuk is szükségessé teszi a mindennapos szereplést. Sárgás – szürkés fogakkal -lássuk be – nem szívesen mosolygunk, hisz úgy érezhetjük minden tekintet a fogainkra szegeződik, és talán így is van. Hiszen beszélgetéseink közel 50%-ban egymás száját figyeljük, melyből aztán levonjuk a következtetéseinket, megszületik az a bizonyos első benyomás.
A fogak elszíneződését nem csupán olyan külső tényezők okozhatják, mint a kóla, kávé, vörösbor vagy a cigaretta. Visszafordíthatatlan változást okozhat bizonyos gyógyszerek szedése, valamint a fogak elhalása vagy szuvasodás következményeképp, vagy balesetből kifolyólag. Ezen nyomok, hatások eltüntetésére sem a fogkőeltávolítás, sem a fogfehérítés nem alkalmas. Viszont a Clinidentben gyönyörű, esztétikus és 100%-ig természetes hatású cirkónium koronákat készítünk, hogy senkinek se kelljen lemondania a mosolygásról.
A sérült, erősen kopott fogak esztétikai helyreállításában ma már olyan extra segítséget is igénybe vehetünk, mint a mosolytervezés, mellyel megszűnik az attól való félelem, vajon milyen lesz az új mosolyunk. Amikor destruált fogakkal élünk éveken át, nehéz elképzelni, milyen lesz az új és hibátlan fogsorunk. A mosolytervezéssel tulajdonképpen előre láthatóvá tesszük a jövőbeni mosolyod. Mindehhez mosolyszakértőnk egy mosolytervező szoftvert használ, hogy pillanatok alatt akár 4-5 verziót is megmutasson neked.
Míg a fogfehérítéssel zömmel a fiatalabb korosztály fogait kezeljük sikeresen, addig a cirkónium koronákkal korhatár nélkül helyreállíthatjuk a mosolyokon esett csorbát.
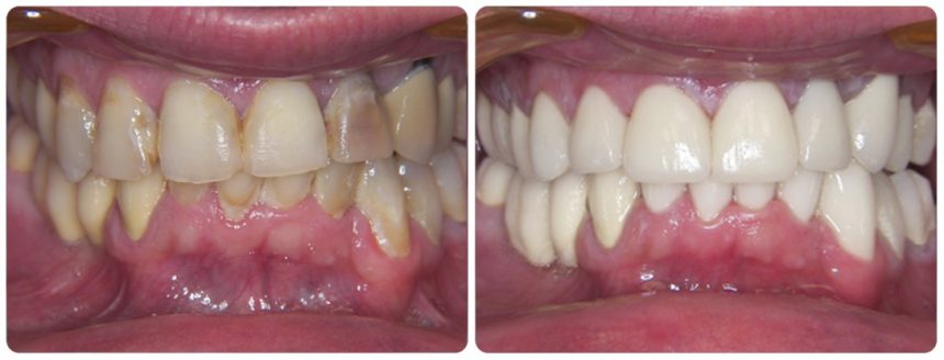
A cirkónium korona másik nagy előnye, hogy igazából nincsenek előtte akadályok. Szinte bármilyen fogazati eltérést kezelhetünk vele: a kuszaságot vagy harapási eltérést is korrigálhatjuk egy komplexebb korrekcióval. A cirkónium a régi, elszíneződött, megkopott fémkerámia korona príma alternatívája, hiszen amellett, hogy 100%-ig allergén mentes, még a fém okozta ínyszéli elszíneződésnek is búcsút mondhatunk általa.
Az erősen csorbult fog, amely már gyökérkezelésen átesett, nehezebben viseli a korábbi terhelést. Koronával való megerősítése a hosszú távú terápiája, mellyel még akár évtizedeket is nyerhetünk, mielőtt a foghiánnyal is fel kellene venni a harcot.
Fogaink erős igénybevételnek vannak kitéve, különösen a modern táplálkozás kihívásait és dohányzási szokásainkat ismerve. A fogak erőteljes nyaki kopásai érzékennyé válnak, a szuvasodás miatt toldozott-foltozott fogak tarka, gondozatlan összhatást mutatnak. A mosoly rendezésével, esztétikus, fémmentes cirkónium koronákkal akár több 10 évet is letagadhatunk ugyanúgy, mint ahogy az elhanyagolt fogak hasonló mértékben öregítenek rajtunk.
Amikor komplex restaurációba fogunk (régi koronák lecserélése, elszíneződések, nyaki kopások, front fogak esztétikája), célszerű a fogazatot teljességében kezelni azért, hogy egy hosszú távon jól működő, egészséges és kiegyensúlyozott harapást nyerjünk az új foghíd által. Az ilyen mértékű beavatkozásnál a mai, modern fogászat kényelmes és vállalható ideiglenes pótlást biztosít a páciensnek az új fogkoronák elkészültéig.
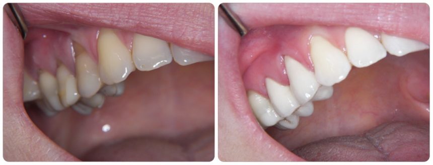
A nyaki kopások a helytelen fogápolási szokások eredményeképp alakulnak ki. Érdemes az éves fogkőeltávolításon érdeklődni a fogmosás fogbarát fogásairól, hogy megelőzzük az íny visszahúzódását. Ha viszont már felütötte a fejét a probléma, cirkónium koronával orvosolhatjuk az elcsúnyult külsőt és a kellemetlen érzékenységet.
Egy teljes fogpótlás lecserélésénél a költségek magasabbak, mint egy-egy fog készítésekor. Jogosan merül fel a kérdés, hogy mennyire tartós megoldás a cirkónium és mennyi garanciát kapunk rá. Ilyen esetekben érdemes a fogászat garanciális feltételeiről tájékozódni, mert azok félévente egy fogorvosi kontroll vizsgálaton és évente legalább egy fogkőeltávolításon való részvételt mindenképpen előírnak.
Fiatalabb korban egy szabályos fogsor esetén a mosoly rendezése egyszerűbben zajlik. Egy-egy szépséghibát gyorsan és könnyen orvosolhatunk. A fogfehérítés elegendő terápia lehet a sárgás elszíneződések felszámolására, míg egy gyökérkezelt fognak a cirkónium a régi ragyogását is visszaadhatja. A fehérítést érdemes a koronák készítése előtt elvégezni, hogy a készülő fogpótlás színét már az új kifehérített fogakhoz igazíthassuk.