Esetbemutatás: fog implantátumra készülő esztétikus fogpótlások
Főoldal / Sikertörténetek / Esetbemutatás: fog implantátumra készülő esztétikus fogpótlások
Tartalomjegyzék
Időpontot kérek!
Esetbemutatás: fog implantátumra készülő esztétikus fogpótlások
A Clinident Fogászati Centrum szakértő csapata fennállása óta több ezer páciensének adta vissza a felszabadult mosoly élményét. Klinikánkon az egyik legkedveltebb fogpótlás fajta a fog implantátum beültetésre készülő esztétikus korona és foghíd, mellyel akár örökre is elbúcsúzhatunk a nyomasztó foghiánytól.
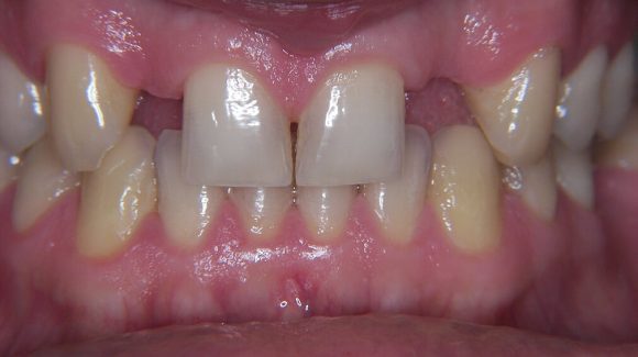
Hagyományos foghíd és implantátumra készülő foghíd György foghiányának megoldására
Állapotfelmérés és konzultáció:
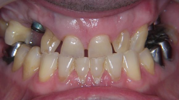
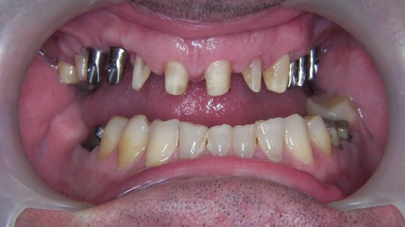
György 59 évesen úgy döntött, hogy nem adja meg magát az addigra jónéhány fognyi foghiányának, de ugyanakkor a kivehető fogpótlással sem akar együtt élni. A szájsebész rendelésére implantációs konzultációra érkezett. Elsőként a panoráma röntgen alapján teljeskörű állapotfelmérés történt, mellyel a foghiányon túl a meglévő fogak állapotát is fel tudták tárni.
A szájsebész az egyik protetikában gyakorlott, esztétikai fogpótlások készítésében is jártas kollégájával állította össze a kezelési tervet, hiszen György fogainak markáns lekopását a sajátos élharapása okozta, tehát a teljes felső fogsor restaurációja és az alsó hiányok pótlása volt a terv.
- Szájhigiénia helyreállítása, gyulladások megszüntetése:
Fogkő eltávolítás több alkalommal is történt a teljes kezelés folyamán. Elsőként még a műtét előtt, ezután két gyulladt fog húzása követett, melyek már menthetetlennek bizonyultak. A fogkő eltávolítás és foghúzás elvégzésére a műtét előtt azért volt szükség, mert az implantációs műtétet csak a baktérium szám redukálása után lehet elvégzeni.
- Kezelések fájdalommentesen:
Valamennyi beavatkozást – a fogkőeltávolítás kivételével – érzéstelenítésben végeztek, mellyel a fogászati kezelések kellemetlenségei minimálisra csökkentek. Az érzéstelenítés általi teljes fájdalommentességnek köszönhetően György a foghúzás után teljes önfegyelemmel, mindenféle fenntartás nélkül vágott bele a műtétekbe.
Az implantátumok gyógyulására 6 hónapot szántak, mivel a rágó fogak hiánya mellett a foghiány területén csonthiányt is pótolni kellett.
A műtétet követően a meglévő fogak rendbe tételén volt a hangsúly. A kezelés során készült még néhány fogtömés, az egyik foggyökér gyulladása miatt pedig gyökérkezelés.
Koronák és hidak készülete:
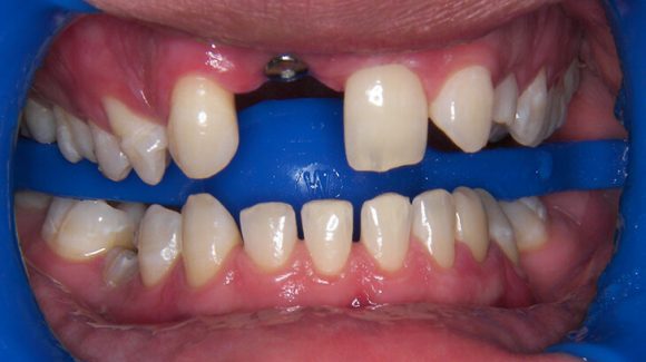
A gyógyulási idő letelte után az implantátumok feltárásával megkezdődtek a pótlás készítésének folyamatai:
- Az implantátum körüli íny esztétikus lefutásáért ínyformázó elemet használtak.
- A meglévő, saját fogak lecsiszolásra kerültek, ezzel pedig a fogtechnikai munkálatok is elkezdődhettek: az implantátumra készülő híd vázát speciális felépítményekre készítették el.
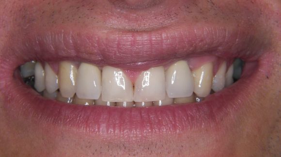
- György fémallergiával nem küzd, ezért az olcsóbb, de stabil fémkerámia koronák mellett döntött, a teljes pótlása abból készülhetett.
- Rendszeres kontroll az implantátumok és a fogak egészségéért
Mire György koronái és hídjai beragasztásra kerültek, már közel 1 éve volt fogászatunk lelkes látogatója és a dentálhigiénikus kollégánk lelkiismeretes instrukcióinak köszönhetően tökéletesen képbe került az alapos fogmosás és fogtisztítás témakörében.
Elmondása szerint nem túl nagy áldozat a naponta többször több perces, tükör előtti higiéniás procedúra. Az implantátum fogpótlás stabilitása és az esztétikus mosoly visszaadta a magabiztosságát. A fogak elkészültével életminősége olyan mértékben változott, ami összehasonlíthatatlan különbséget jelent a korábbi elhanyagolt fogazatához képest.
Esztétikus és fémmentes szóló fogkorona
Veleszületett foghiány
Márk csírahiányos állapottal küzdött, ami azt jelentette, hogy a felső második metszőfogai soha nem is léteztek, nem bújhattak elő. Minden vágya volt, hogy végre normális mosolya legyen, de ehhez előbb ki kellett várnia a csontfejlődés befejeződését. 21 éves volt, amikor klinikánkra látogatott és a szájsebész konzultációján -az állapotfelmérés után- összeállították számára a kezelési tervet.
- Esztétikus mosolyalkotás implantációval
Két implantátum beültetése után fél évvel vettek lenyomatot a fogairól, amely alapján a fogtechnika elkezdte a 2 db fémmentes fogkorona készítését. Mivel esztétikailag kiemelt helyen történt a beavatkozás, cirkónium felépítményt kapott, hogy tökéletesen élethű cirkon korona készülhessen.
- Magabiztos megjelenés
A végeredményt tekintve a fiatalember tökéletesen elégedett volt.
Elmondása szerint valahányszor a tükör előtt áll, mindig szán 1-2 percet arra, hogy gyönyörködjön a végre normális mosolyában.
Gellért sportsérülését hoztuk helyre implantátum beültetés segítségével
Balesetben vesztett fog pótlása
Gellért régóta sportol, de egy edzésen történt baleset miatt, egy rosszul sikerült ütés nyomán oly mértékben sérült a front foga, hogy azt a szájsebészeti beavatkozás során kellett végül eltávolítani. A foghúzás jól sikerült, csontveszteség nélkül, ami gyors sebgyógyulást eredményezett, majd néhány héttel később a fogimplantátum is beültetésre került.
- Esztétikus ideiglenes pótlás azonnal
A gyógyulási időszakban Gellért egyfajta speciális hídpótlást kapott, mely, mint ideiglenes korona takarta a foghiány területét. Ez a Maryland híd két szárnyacskával az oldalain a szomszédos fogakhoz rögzült egy speciális ragasztóval.
- Mosolyhelyreállítás porcelán koronákkal
A kontrollált és zavartalan gyógyulást követően, a beültetés után 6 hónappal megkezdődhetett a mosoly helyreállítása. Itt azonban már nem csupán a foghiányra koncentráltunk, a teljes – esztétikailag fontos- front terület egységesítése volt a cél. Felső fogakra és a fogbeültetésre 6 db fémmentes, teljes kerámia korona készült. Az eredetire megtévesztésig hasonlító porcelán korona fog pótlások igen vonzó mosollyal ruházták fel viselőjét.