1133 Budapest, Tutaj u. 6/b, Cézár-Ház

Rendelési idő: hétfő-péntek 8.00 – 20.00

Esztétikus cirkon korona saját fogra és implantátumra

Esetbemutatás

Tartalomjegyzék

Időpontot kérek!

Contact Form Demo

Szerző / Kezelőorvos

Dr. Sas Krisztina

Kezelés végző fogorvos

Clinident Fogászat – Budapest

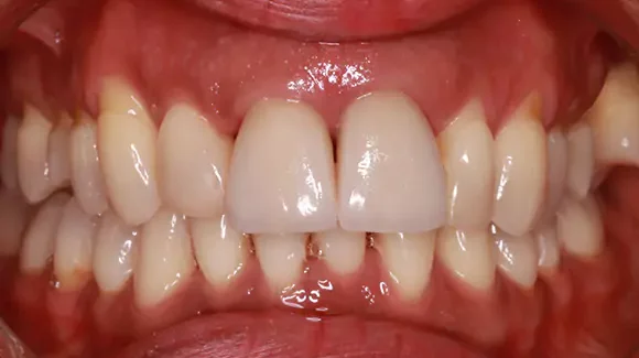
Kezelés előtt
Kezelés után

Milyen problémával jelentkezett a páciens?

Páciensem azért keresett fel az első konzultáció alkalmával, mert a két felső nagymetsző fogának koronái nem tetszenek neki, illetve a felső foghiányát is szerette volna esztétikusan pótoltatni.

Mi volt az elképzelése, milyen megoldást szeretett volna?

A nagymetszők koronái színben eltértek, jóval világosabbak voltak a szomszéd fogaktól, ráadásul hosszabbak és domborúbbak is voltak, ettől úgy érezte, kiállnak a sorból. Lófogaknak nevezte őket. Olyan esztétikus fogpótlást szeretett volna, amivel a mosolya fiatalosabbá válik. Fontos volt, hogy a fogak egy szintbe hozhatók- ugyanakkor fehérek is legyenek, de mégse üssenek el a környezetüktől.

Mi volt a diagnózis és mi volt a javasolt fogászati megoldás?

A cél egy teljes szájrendezés volt, ugyanis az esztétikai problémán túl súlyosabb fogínygyulladást is megállapítottunk. Mivel a hölgy dohányos és régen járt fogkő-eltávolításon, így a parodontális gondozást is felvettük a teendők listájára.

Megállapodtunk abban, hogy amíg az íny el nem ér egy egészséges, gyulladásmentes állapotot addig nem kezdünk bele a front koronák készítésébe. Esztétikai pótlásnál ugyanis csak akkor lehet szép ínykontúrral rendelkező front koronákat készíteni, ha az íny egészséges.

Neked ajánljuk:

Cirkónium korona – élethű fogkorona fémmentesen

Milyen esetben ajánlott a cirkónium korona?

Garancia, cirkon korona árak

Hogyan zajlott végül a kezelés, mennyi időt igényelt?

Páciensem komplex szájrehabilitációjával kb. fél év alatt végeztünk. Ez idő alatt legalább 8 fogtömést készítettünk, gyökérkezelést végeztünk, részt vett Irányított Biofilm Terápián, és a szájsebész is beültette a fog implantátumot. A folyamatot a mosolyvonal két nagymetsző koronájának lecserélésével és az implantátumra készülő koronával zártuk, így végül 3 db cirkon koronát kapott.

Fogblog

Jelentkezzen be vizsgálatra!