1133 Budapest, Tutaj u. 6/b, Cézár-Ház

Rendelési idő: hétfő-péntek 8.00 – 20.00

Esztétikus fogszabályozás felnőttkorban, szinte láthatatlanul

Esetbemutatás

Tartalomjegyzék

Időpontot kérek!

Contact Form Demo

Szerző / Kezelőorvos

Dr. Déri Katalin

Kezelést végző orvos

Clinident Fogászat – Budapest

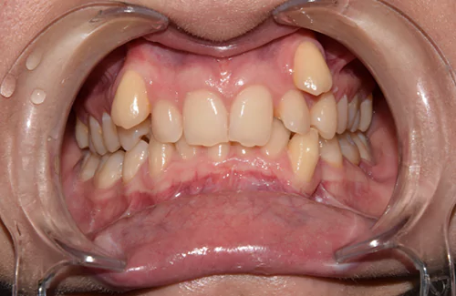
Kezelés előtt
Kezelés után

Milyen fogproblémával jelentkezett a páciens?

Páciensünk a fogai esztétikai problémájával, valamint a súlyos torlódás miatti nehéz tisztíthatósággal jelentkezett az állapotfelmérésre.

Mi volt az elképzelése, milyen megoldást szeretett volna?

A 28 éves hölgy olyan kezelést szeretett volna, mely mellett vállalható marad a megjelenése, ugyanakkor a fogai épségét mindenképpen szerette volna megőrizni, ezért az esztétikus fogszabályozás elvégzését preferálta.

Mi volt a diagnózis és mi volt a javasolt fogászati megoldás?

A páciensnek súlyosan torlódott fogazata volt, a farkasfogszerű szemfog pozíciók pedig esztétikailag is nagyon kedvezőtlen hatást keltettek. Az erős torlódáson túl harapási rendellenességként még mélyharapást is megállapítottunk.

A páciens elképzelései és a szakmai lehetőségek metszéspontjában a hagyományos, gumiligatúrákat alkalmazó, ámde esztétikus fogszabályozás állt. Így egy olyan, szinte láthatatlan fogszabályozó készüléket ajánlottunk, mely a felnőtt fogszabályozás népszerű készüléke.

A kezelését 4 db kisőrlő fog eltávolítása mellett az alsó és felső rögzített fogszabályozóval terveztük elvégezni.

Neked ajánljuk:

Felnőtt fogszabályozás Budapest. Ezek a legkedveltebb készülékek

Hány éves korig érdemes belevágni a fogszabályozásba, mit kezelhetünk és előzhetünk meg vele?

Milyen felnőtt fogszabályozó készülékek léteznek, mik a költségek?

Hogyan zajlott végül a kezelés, mennyi idő alatt érték el a kívánt eredményt?

A fogszabályozó kezelés előtt fogkő-eltávolítást végeztünk, ahol a dentálhigiénikus felkészítette őt a fogszabályozó tisztán tartásának lépéseire.

 

A kezelést a felső fogszabályozó ragasztásával kezdtük, majd nem sokkal ezután következtek a foghúzások, majd pár hónappal a felső készülék ragasztása után az alsót is átadtuk.

 

Körülbelül 20 hónapig tartott az esztétikus fogszabályozás, ennyi idő alatt nagyon szép eredményt kaptunk. A páciens eközben havonta járt aktiválásokra.

 

A fogszabályozók levételét követően – mint minden esetben, úgy itt is-, alsó és felső retainert és retenciós síneket kapott a páciens, hogy a fogai az újonnan elért pozíciókban rögzülni tudjanak.

De ezekkel már jóval könnyebb együtt élni, mint a fogszabályozóval:

  • A retainerek a front fogak belső felszínén rögzülnek ugyan, de semmi kényelmetlenséget nem jelentenek.
  • A retainer nem zavaró étkezés közben, nem szúrja a nyelvet, nem akadályozza a hangképzést.
  • A síneket éjszaka kell viselni, melyekkel a teljes fogsorra hatást gyakorlunk.

 

A hölgy a kezelés befejezése óta is visszatérő páciensünk, ugyanis a fogszabályozó kezelés után is fontos a rendszeres fogkő eltávolítás vagy éppen az Irányított Biofilm Terápia. Ezt utóbbival már a fogkövet okozó bakteriális biofilm réteg is eltávolítható, így jobb szájhigiénia érhető el, rendszeresen elvégezve pedig időről-időre egyre kevesebb fogkő képződik.

 

Természetesen a fogtisztítás mellett a rendszeres fogorvosi kontroll sem hagyható ki, hiszen ilyenkor nem csak a fogak szakértő ellenőrzése történik, de a sínek és a retainerek állapotát is nyomon tudjuk követni, szükség esetén cserélni tudjuk.

Fogblog

Jelentkezzen be vizsgálatra!