1133 Budapest, Tutaj u. 6/b, Cézár-Ház

Rendelési idő: hétfő-péntek 8.00 – 20.00

Esztétikus kerámia korona héjpótlás után – Clinident Fogászat

Esetbemutatás

Tartalomjegyzék

Időpontot kérek!

Contact Form Demo

Szerző / Kezelőorvos

Dr. Koncz Zsófia

Kezelést végző orvos
Clinident Fogászat – Budape

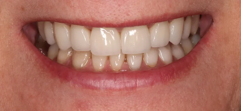
Kezelés előtt
Kezelés után

Milyen problémával jelentkezett a páciens?

Páciensem foghéj cserék miatt jelentkezett be állapotfelmérésre, mivel a jobb felső nagymetsző fogán mozgott a porcelán héj. A régi héjak nem zártak már jól, széleiknél sárgás elszíneződés volt megfigyelhető.

Mi volt a páciens elképzelése, milyen megoldást szeretett volna?

A hölgy új, fehérebb héjakat, esztétikusabb és egészségesebb hatású mosolyt szeretett volna.

Neked ajánljuk:

Cirkon korona vagy teljes kerámia korona? Melyik lehet a jobb?

Teljes kerámia korona vagy cirkon korona – Kinek, melyiket ajánljuk?

Mi a különbség a két korona között?

Mi volt a diagnózis és mi volt a javasolt fogászati megoldás?

Két rágófog hiányán és néhány szuvasodáson túl nagyobb problémát nem azonosítottunk, sem harapási rendellenesség, sem fogcsikorgatás nem volt, ami akadályozta volna a héjkerámia cseréjét. A kezelési tervbe végül 5db fogtömés, és 8db héjkerámia pótlás készítését ütemeztük be.

Hogyan zajlott végül a kezelés?

Mivel a fogak formáján, külalakján nem kívánt változtatni, így az egyébként, ilyenkor szokásos mosolytervezés is elmaradt.

A kezelési terv szerint haladva előbb a fogtömések készültek el, majd a pótlás előkészítése következett.

Miután azonban a porcelán héjakat eltávolítottuk, módosítanunk kellett a kezelési terven.

Kezelés közben ugyanis láthatóvá vált, hogy a fogaknak jelentős része tömés, melyek cserére szorulnak. Ez azonban már szerkezetileg is jobban igénybe veszi fogakat, ráadásul a preparációs határnál (a fog és héj találkozásánál) is többségében tömésből állna a fog, ami tartósság szempontjából nem lenne szerencsés.

Végül héjak előkészítése helyett koronák preparálása mellett döntöttünk, a felső front régióba (14-24 es fogakra) teljes kerámia koronákat, azaz préskerámia pótlást készíttettünk a fogtechnikával. Az új koronák elkészültéig páciensem ideiglenes fogpótlást viselt.

Fogblog

Jelentkezzen be vizsgálatra!