1133 Budapest, Tutaj u. 6/b, Cézár-Ház

Rendelési idő: hétfő-péntek 8.00 – 20.00

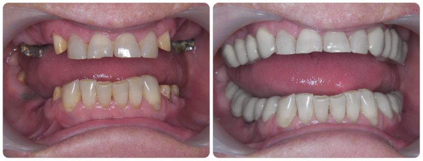
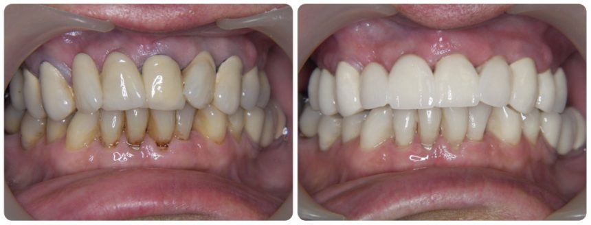
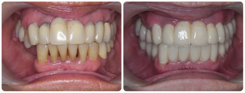
Fogászati híd – fogpótlás előtt és után képek

Esetbemutatás

Tartalomjegyzék

Időpontot kérek!

Contact Form Demo

Fogászati híd pótlásokat akkor készítünk, amikor a rágófunkció restaurációja a cél. Foghíd akkor készülhet, ha egy vagy több fog hiányát szeretnénk pótolni. Nagyobb foghiányt több fog bevonásával tudunk kiküszöbölni, így lehetséges az, hogy akár körhíd is készülhet egy szakértő fogorvos keze által. 

Klinikánkon elsődleges szempont a fogak hosszú távú megőrzése, vagyis a fogmegtartás, fogmentés. Sokszor szélmalomharcot is képesek vagyunk vívni, egy-egy fogért minden lehetséges fogászati kezelést bevetünk, csakhogy páciensünk minél később kényszerüljön szembenézni a foghiány problémájával. A foghiány tartós állapota számos egészségügyi problémát képes előidézni, melyek megkeserítik a páciensek életét. 

  • Csökken a rágóképesség csökken, romlik az emésztés.
  • Elmozdulnak a szomszédos fogak, ez pedig idő előtti kimozduláshoz, akár fogvesztéshez is vezethet.
  • A foghiányos fogsor az elhanyagoltság benyomását kelti.
  • A hangképzés és a beszéd érthetősége romlik, különösen front fogak hiánya esetén.
  • A kihúzott fog helyén megindul a csont leépülése, mely nehézségeket okoz a későbbi fogpótlás készítésénél.

Foghiány felszámolására alapvetően a híd készítése a megoldás, de több foghiány esetén a fogbeültetést is segítségül hívhatjuk. Ilyenkor a híd pillérei nem a saját fogak, hanem a beültetett műgyökerek. Ez kifejezetten korszerű és esztétikus megoldás a sorvégi hiány felszámolására, ellentétben a részleges, kivehető fogsorral szemben, ami ilyen esetben az egyetlen alternatíva. Az implantátumos megoldások élethosszra szólnak, ha kellő gondossággal törődünk a fogpótlással 

Hidakat alkalmazhatunk még a meglazult fogak megerősítésre is. A fogínysorvadás következtében meglazuló, stabilitásukat vesztett fogaknak nyerünk időt azzal, ha egy őket merevítő híddal összekötjük. Így használhatjuk ki a híd sínező funkcióját, mellyel csökken a fogak mozgathatósága és megelőzhetjük az idő előtti elvesztésüket. 

5 érv a tökéletes esztétikájú fogászati híd mellett:

  • Partner fogtechnikánk kiváló minőségű svájci, CAD/CAM tervezésű koronákat és hidakat készít;
  • A hidak tervezése számítógéppel történik, így hajszálpontosan illeszkedik a fogakhoz;
  • A porcelán borítás kidolgozása természetes hatású, így észrevehetetlen fogpótlást eredményez;
  • A fémmentes cirkónium híd nemcsak a magas esztétikai igényű területeken állja meg a helyét, de 100%-ig allergén mentes megoldás is egyben;
  • Implantátumokra készülő híddal az egészséges foganyag beáldozása nélkül nyerjük vissza a rágófunkciót.

Fogblog

Jelentkezzen be vizsgálatra!