1133 Budapest, Tutaj u. 6/b, Cézár-Ház

Rendelési idő: hétfő-péntek 8.00 – 20.00

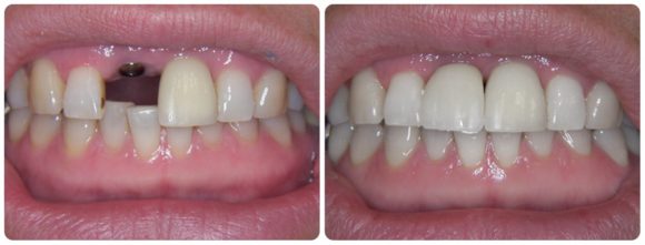
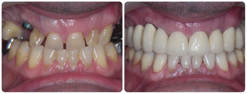
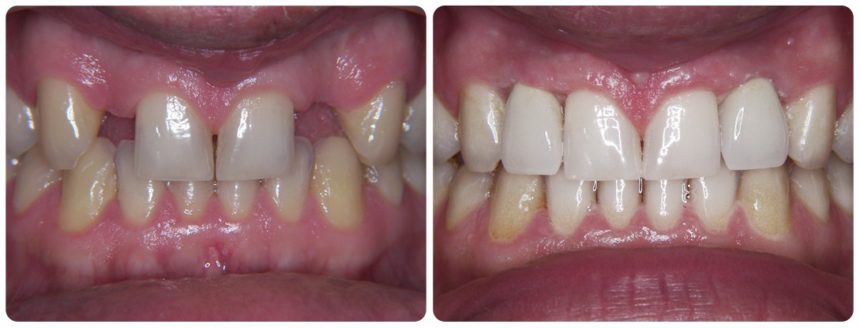
Fogászati implantátum – fogpótlás előtt és után képek

Esetbemutatás

Tartalomjegyzék

Időpontot kérek!

Contact Form Demo

Fogászati implantátumra számos esetben szükségünk lehet. Nem csupán egy elromlott, majd elvesztett fog után válhat szükségessé a fogbeültetés. Műgyökérrel pótolhatjuk a hiányt akkor is, ha eleve csírahiánnyal küzdünk, azaz eleve sosem nőtt ki egy vagy több fogunk.  

Klinikánk történetében a létező összes foghiánnyal találkoztunk már. Ami közös ezekben a páciensekben, az a hiány miatti önbizalom csökkenés, arc esztétikájának megváltozása és szégyenlősség. Az implantátum beültetése után elkészülő fogpótlással 180 fokos fordulatot vesz a páciensek élete, miután az előbbi negatívumoknak sorra búcsút mondanak. 

Az implantátumokra többféle fogpótlást készíthetünk attól függően, milyen jellegű a foghiányunk (sorközi vagy sorvégi; egy, több, vagy akár teljes fogatlanság) és mik az anyagi lehetőségeink. Egy implantátumos fog nyilvánvalóan kevésbé terheli meg a pénztárcánkat, mint akár 2-3 vagy több fog pótlása.  

Dönthetünk arról, hogy hagyományos híddal vagy implantátummal pótoljuk az elvesztett fogakat, hogy fémes alapú vagy fémmentes és tökéletesen allergén mentes legyen az új mosolyunk.

Éppen ezért hangsúlyozzuk a megelőzés fontosságát, melynek alappillére a helyes fogápolás. Ha azt rendben végezzük és rendszeresen járunk fogorvosi kontrollra, akkor nem csak a saját fogaink, de az elkészült koronák is hosszú távra szólnak. 

Fogblog

Jelentkezzen be vizsgálatra!