1133 Budapest, Tutaj u. 6/b, Cézár-Ház

Rendelési idő: hétfő-péntek 8.00 – 20.00

Foghiány esztétikus pótlása cirkon implantátum segítségével

Esetbemutatás

Tartalomjegyzék

Időpontot kérek!

Contact Form Demo

Szerző / Kezelőorvos

Dr. Kovách Sándor

Implantációt végző szájsebész

Clinident Fogászat – Budapest

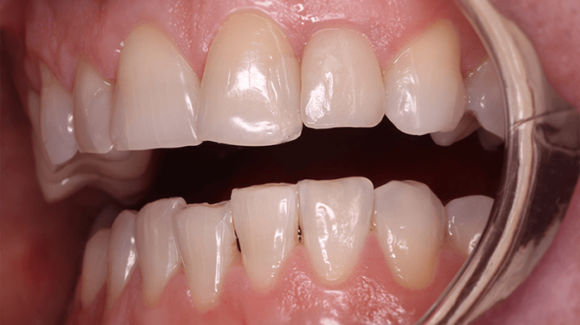
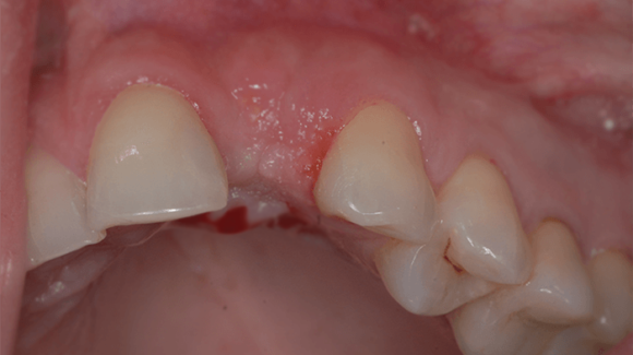
Kezelés előtt
Kezelés után

Milyen fogászati problémával érkezett a páciens?

Páciensem 2013-ban keresett fel a bal felső kismetsző (22-es) fogának gyulladásával. Az akkor készült panoráma röntgen felvételen a fog gyökércsúcsa felől kiinduló, a fog környezetére is kiterjedő gyulladás volt megfigyelhető.

Mi volt a javasolt fogászati megoldás?

A fog gyökérkezeléssel való megmentésére minimális esély látszott, ráadásul a gyulladás kiterjedése miatt már a szomszédos fogak is veszélyeztetettek voltak. A foghúzást követően fogbeültetést javasoltam, s mivel a mosolyzónáról volt szó, így esztétikus cirkon implantátum beültetésére készítettem el a kezelési tervet.

Hogyan zajlott végül a fogászati kezelés?

Helyi érzéstelenítést követően a fogat és a gyulladást is eltávolítottam. Ezt követően a hiányzó fog, illetve a gyulladás által okozott csontdefektus helyén csontpótlást végeztem, melyet membránnal fedtem.

6 hónapos gyógyulási idő leteltével, egy kontroll CT felvételt követően, sebészeti sablont terveztünk, hogy az egyrészes cirkon implantátum a lehető legkedvezőbb pozícióba kerülhessen be. A sebészi sablonnal történő fogbeültetést irányított implantációnak nevezzük.

Implantációt követően az implantátumra ideiglenes korona készült, mellyel megkezdődhetett az ideális ínykontúr kialakítása. Amennyiben az implantátumra ideiglenes fogpótlás készül és nem klipsz segítségével fedjük a hiányt, akkor az ideiglenest a műgyökér csontosodásának idejére „kivesszük a harapásból”, vagyis nem éri terhelés.

A 3 hónapos gyógyulási időt követően a páciens egy teljes kerámia koronát, úgynevezett esztétikus préskerámia koronát kapott végleges fogpótlásként. A teljes kezelés kb. 9 hónapot vett igénybe, mely végén egy tökéletesen élethű, cirkon implantátumra épülő elegáns megoldással távozott a páciens.

Mi az a cirkónium, és mit jelent a biokompatibilitása?

Miből van a cirkónium implantátum?

A cirkon implantátum 5 legfontosabb előnye

Milyen esetekben ajánlott a kerámia implantátum beültetése?

Kerámia fogbeültetés és fogpótlás garanciával

 

Neked ajánljuk:

Biokompatibilis cirkónium implantátum beültetés – Budapest

Fogblog

Jelentkezzen be vizsgálatra!