1133 Budapest, Tutaj u. 6/b, Cézár-Ház

Rendelési idő: hétfő-péntek 8.00 – 20.00

Foghíd implantátumra – Teljes, látványos fogászati rehabilitáció – Clinident Fogászati Centrum

Esetbemutatás

Tartalomjegyzék

Időpontot kérek!

Contact Form Demo

Szerző / Kezelőorvos

Dr. Sas Krisztina

Kezelés végző fogorvos

Clinident Fogászat – Budapest

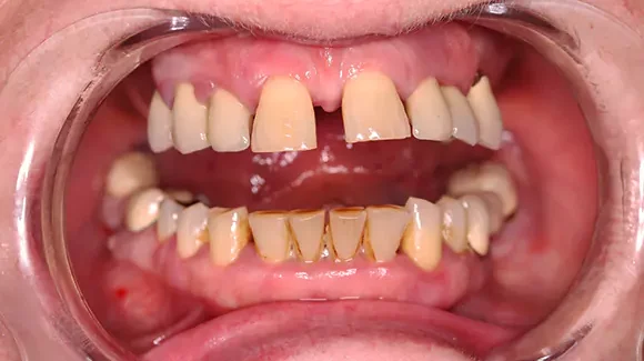
Kezelés előtt
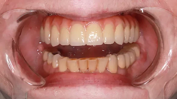
Kezelés után

Milyen problémával jelentkezett a páciens?

A hölgy azért keresett meg, mert a jobb felső hídja eltörött, az utolsó foga pedig kiesett. Mindezzel együtt pedig igen régen járt fogászati állapotfelmérésen és kezelésen.

Mi volt az elképzelése, milyen megoldást szeretett volna?

Páciensem a teljes fogazatát alul és felül is szerette volna teljesen rendbe hozatni. Nagyobb beavatkozásra készült, hiszen több mozgó foga miatt azzal is tisztában volt, hogy a fogak helyzete nem ideális. Mindezzel együtt végleges fogpótlásként a rögzített megoldáshoz ragaszkodott.

Mi volt a diagnózis és mi volt a javasolt fogászati megoldás?

A páciens amellett, hogy erős dohányos volt abban az időben, még csontritkulást is megállapítottak nála, a szájhigiénia kiindulási állapota pedig igen rossznak volt mondható.

Mindezek tükrében szájsebészeti és parodontológiai konzultációt is javasoltam, melyeket követően átbeszéltük a szakorvosok által javasolt lehetőségeket és tisztáztuk a felmerülő kérdéseket.

 

A cél a lehető legtöbb saját fog megtartása és egy hosszú távon is jól működő fogpótlás volt, amihez azonban fontos volt, hogy az orvosi utasításokat és életmódváltásra vonatkozó javaslatokat betartsa. Ehhez szerencsére komoly együttműködést tanúsított a hölgy, így jó eredményekre számítottunk a rehabilitáció végére.

A végleges kezelési terv szerint a menthetetlen fogak eltávolítása után, felül a teljes foghiányra előbb egy ideiglenes fogsor, majd a hagyományos kivehető műfogsor helyett fog implantátum beültetésre körhíd protézis készül, mely fémkerámiából van és csavarokkal rögzül.

A bal alsó területet fémkerámia foghíd implantátumra való elkészítésével állítottuk helyre, a jobb alsó foghiányát 1 db implantátum beültetéssel és porcelán koronával pótoltuk. Az alsó fogsor front területére pedig parodontális sínezést ütemeztünk be a fogak stabilizálására.

Neked ajánljuk:

Foghíd fogra vagy implantátumra – Anyagok, típusok, árak

Miért kell a foghíd, milyen szövődményt előzhetünk meg vele?

Milyen foghíd fajták léteznek?

Leggyakoribb páciens kérdések a foghídról

Hogyan zajlott végül a kezelés, mennyi idő alatt készült el a fogpótlás?

A fogeltávolításokkal egy időben készültek el az ideiglenes fogpótlások, hogy egyáltalán ne kelljen fog nélkül maradnia a páciensnek.

foghúzást követő gyógyulási idő után az implantátumokat beültette a szájsebész, felül ehhez azonban csontpótlásra is szükség volt.

Az alsó pótlások és a sínezés pár hónappal később el tudott készülni.

A felső implantátumok gyógyulási ideje a csontpótlás miatt 8 hónap volt, a teljes kezelés végül 1.5 évig tartott.

Fogblog

Jelentkezzen be vizsgálatra!