1133 Budapest, Tutaj u. 6/b, Cézár-Ház

Rendelési idő: hétfő-péntek 8.00 – 20.00

Fogszabályozás előtte utána – képekkel

Esetbemutatás

Tartalomjegyzék

Időpontot kérek!

Contact Form Demo

fogszabályozás manapság már nemcsak, hogy modern és professzionális fogkezelési eljárás, de ugyanakkor trendi beavatkozásnak is számít mindazok körében, akik minimális beavatkozással maximális esztétikai hatást szeretnének elérni. A kor lényegében már mit sem számít, hiszen ahogyan a gyerekeknek úgy a felnőtteknek is lehetőségük van rendezni a kócos mosolyt. 

Mit érdemes tudni a Signature fogszabályzóról? 

Signature fogszabályzóink a rögzített készülékek sorában a legnagyobb népszerűségnek örvendenekA kerámia alapanyagú tappancs kivitelezése ízléses, kialakítása nagyfokú kényelmet biztosít mind a páciensnek, mind pedig az orvosnak, hiszen könnyű ragasztást és könnyű bontást biztosít. 

  • Lágy erőkkel működő készülékek.
  • Maximális esztétikum a kerámia és clear tappancsoknak köszönhetően.
  • Kevesebb orvosi kontroll.

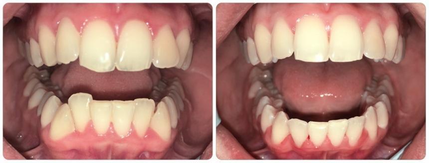
34 éves hölgy rögzített fogszabályozó készüléket kapott.

Típus: Signature III. esztétikus fogszabályozó

Kezelési idő: 18 hónap

A fogszabályozást követően, a kezelés befejeztével szükségünk lesz még egy olyan készülékre, amely segíti a fogakat helyes pozícióban maradni. Ennek hiányában – idővel-, a minimálistól a látványosabb elcsúszásokig tapasztalhatunk negatív változást. A fogszabályozás alatt a rögzítő elemek tartották fent a helyes eredményt, míg azok eltávolítása után, a fogak teljes rögzüléséig szükséges őket némileg támogatni retainer sín segítségével. A retainer lehet egy kivehető műanyag sín és lehet a nyelv felől rögzített, ragasztott sín is, melynek eltávolításáról az orvossal közösen dönthetünk. 

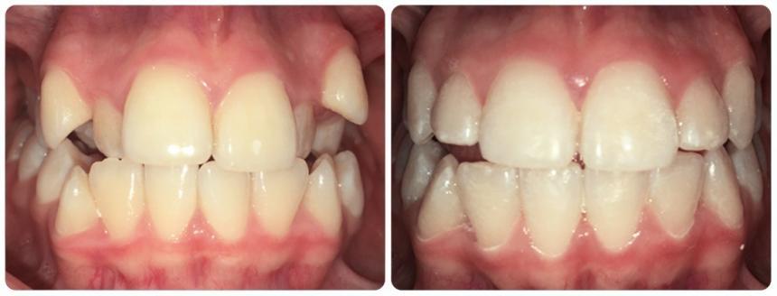
A fiatal hölgy esetében a kivehető és a rögzített készülék kombinációja vezetett sikerre. A felső állcsonton láthatatlan sínekkel dolgoztunk, míg alulra rögzített készüléket kapott.

Típus: Clear Aligner, Signature III. rögzített fogszabályozó

Kezelési idő: 8hónap

Mit kell tudni a láthatatlan fogszabályozásról? 

A láthatatlan szabályozók egyik legismertebb és legkedveltebb fajtája a Clear Aligner fogszabályzó. Ez a készülék egy víztisztán áttetsző puha műanyag, mely a fogakról vett lenyomat alapján készül el. Jellemzője, hogy a nap nagy részében, tehát folyamatosan szükséges hordani ahhoz, hogy eredményt érjünk el vele. Ugyanakkor a szabályozó sínek diszkrét megjelenésüknek köszönhetően akár az üzleti életben, tárgyalásokon is vállalható külsővel és beszéddel szerepelhetnek. 

Mikor ajánljuk? 

  • Ha szeretnéd észrevétlen módon szabályoztatni a fogaidat.
  • Ha elfoglaltságaid, életviteled miatt napi 1-2 óra erejéig felfüggesztenéd a készülék viselését.
  • Ha szereted a korszerű megoldásokat.
  • Ha nem szeretnél lemondani az önbizalomteljes megjelenésről.

Fogblog

Jelentkezzen be vizsgálatra!