1133 Budapest, Tutaj u. 6/b, Cézár-Ház

Rendelési idő: hétfő-péntek 8.00 – 20.00

Mosolyrendezés felnőttkorban fogszabályzó és implantátum által

Esetbemutatás

Tartalomjegyzék

Időpontot kérek!

Contact Form Demo

A mosolyrendezés során közreműködő orvosok:

A páciens fogszabályozó kezelését Dr. Kerekes Fanni végezte.

A foghúzást és az implantátum beültetését Dr. Kovách Sándor végezte.

Az implantátumra helyezett cirkon fog pótlást Dr. Sas Krisztina készítette el.

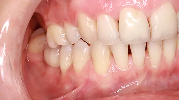
Kezelés előtt
Kezelés után

Milyen fogproblémával jelentkezett a páciens?

Páciensünk torlódott fogazattal és két alsó rágófog hiányával kereste fel rendelőnket az első konzultáció alkalmával.

Bár a hátsó fogak hiánya nem annyira látványos és sokan meg is barátkoznak vele, jó azonban tudni, hogy hiányukkal felborul a fogsor egyensúlya. A szomszédos fogak bedőlnek a helyükre, megváltozik a rágás, a terhelés, ami pedig újabb fogak elvesztését váltja ki.

Mi volt az elképzelése, milyen megoldást szeretett volna?

A harmincas éveiben járó hölgy mosolyrendezést és a foghiányok megszüntetését kérte tőlünk minimál invazív módon. Ez azt jelenti, hogy olyan kezelést kell választanunk az egészséges mosoly kialakításához, ami a legkisebb beavatkozást igényli, vagyis a vágyott esztétikum érdekében nem csiszolunk le egészséges fogakat.

Mi volt a diagnózis és mi volt a javasolt fogászati megoldás?

Páciensünknek a torlódás mellett nagymértékű nyitott harapása is volt. A mosolyrendezés elvégzésére így komplex kezelési terv született.

Míg a harapás rendezésére és a mosoly harmonizálására fogszabályozást terveztük – amihez a két felső kisörlő fog eltávolítását is be kellett ütemezni-, addig az alsó foghiányokra fog implantátum beültetést javasoltunk.

Hogyan zajlott végül a kezelés, mennyi ideig tartott?

A majdnem 2 éves fogszabályozó kezelés előtt alapos szanálást végeztünk. Fogkőleszedésre, valamint a szuvas fogak ellátására is szükség volt. Csak a fogtömések elkészülte után vágtunk bele a mosolyrendezés folyamatába.

Neked ajánljuk:

Biokompatibilis cirkónium implantátum beültetés – Budapest

A cirkon implantátum 5 legfontosabb előnye

Milyen esetekben ajánlott a kerámia implantátum beültetése?

Kezelés előtt
Kezelés után

Kezdetben a hölgy meglehetősen tartott a fogszabályozás eredményét is befolyásoló foghúzástól, de mire elérkezett az idő, belátta, hogy anélkül nem lesz kielégítő a megoldás, azaz valóban szükséges elvégezni.

cirkónium implantátumok beültetését még a fogszabályozás ideje alatt végezte el a szájsebész, így a hiány helyére készülő cirkon fogak a készülék leszedése után rögtön el is tudtak készülni, az implantátumok terhelhetőek voltak.

Fogblog

Jelentkezzen be vizsgálatra!