1133 Budapest, Tutaj u. 6/b, Cézár-Ház

Rendelési idő: hétfő-péntek 8.00 – 20.00

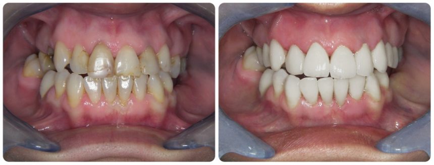
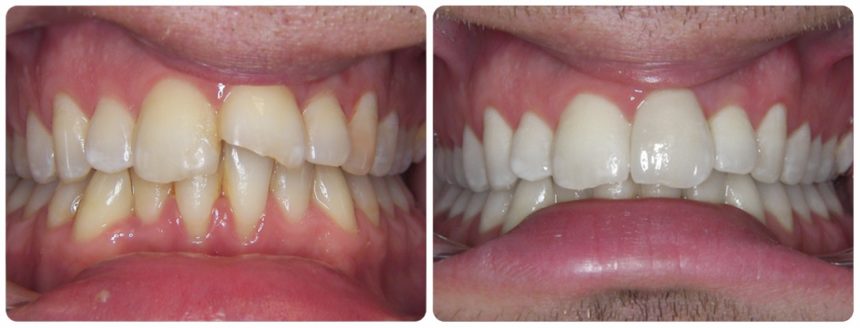
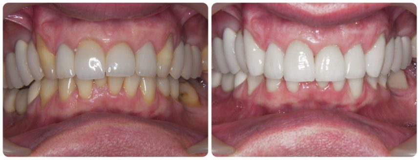
Porcelán héj kezelés előtt és után – képekkel

Esetbemutatás

Időpontot kérek!

Contact Form Demo

Szerző / Kezelőorvos

Dr. Sas Krisztina

Kezelés végző fogorvos

Clinident Fogászat – Budapest

Amikor a mosolyunk változásért kiált, többféle fogászati kezeléssel is elérhetjük a vágyott esztétikumot. Persze nem minden kezelés való mindenkinek, hiszen más és más kiinduló állapottal találkozunk egy-egy csorbát szenvedett mosoly esetén. A kusza fogak, a cakkos fogszélek, az egyenetlen külalak porcelán héj segítségével tökéletesen orvosolható. 

 

Miután az összes fórumon információkat gyűjtöttünk a foghéj kezelésről, érdemes mihamarabb egy konzultáción is részt venni, hiszen a fogorvosunk fog végleges diagnózist adni arról, alkalmasak vagyunk e héjpótlás készítésére. 

Rossz szájhigiéné, mélyharapásélharapás vagy bruxizmus, azaz éjszakai csikorgatás-szorítás mellett a porcelán héj nem javasolt terápia. Azokban az esetekben összetettebb harapás kezeléssel és esztétikus koronák készítésével érhetünk el eredményt. 

foghéj két fajtáját különböztetjük meg. A direkt héjat a fogorvos speciális és esztétikus tömőanyag felhordásával készíti, a fogak lecsiszolása nem, csupán némi előkészítés szükséges hozzá.  

porcelán héjhoz azonban minimális csiszolást követően lenyomat szükséges, mely alapján a fogtechnika elkészíti a felszín egységesítését segítő, lehelet vékony kerámia lapocskákat. 

A következő esetekben kérhetjük a fogtechnikus által készített héjpótlást: 

  • a fogfehérítéssel nem éred el a kívánt fehérséget;
  • a fogaid gyógyszeres kezelés okozta elszíneződését nem lehet fehéríteni;
  • nincs kedved hosszas fogszabályozásba fogni, gyors megoldást szeretnél;
  • tiri-tarka, agyontömött fogfelszínek egységesítését szeretnéd;
  • éjjel sem szorítod vagy csikorgatod a fogaidat.

Sokszor a pácienseink célja nem is a hollywoodi szuper-tökély mosoly, hiszen az nem feltétlenül passzolna a személyiségükhöz. Sokkal inkább szeretnének önmaguk maradni és a legtermészetesebb hatást elérni. 

5+1 érv a porcelán héj mellett:

1. A töméshez viszonyítva a porcelán héj színe és fénye ellenáll az időnek és nem színeződik el. 

2. A direkt héjhoz viszonyítva ellenállóbb megoldás, komolyabb és tartósabb a korrekció mértéke. 

3. A fogkoronához képest kevesebb foganyag beáldozására van szükség 

4. A fogszabályozáshoz viszonyítva, a porcelán héj egyfajta instant megoldás hiszen a kusza fogakat szinte azonnal tökéletes formájúra varázsolhatjuk át. 

5. A fogfehérítéssel szemben tartósabba porcelán héj adta szín és külalak akár 10 évig is ékesítheti a mosolyunkat. 

+1 Elfogadás, önbizalomhiány, önértékelési zavarok könnyedén kiválthatók az esztétikus porcelán héj készítésével. 

Fogblog

Jelentkezzen be vizsgálatra!