1133 Budapest, Tutaj u. 6/b, Cézár-Ház

Rendelési idő: hétfő-péntek 8.00 – 20.00

Préskerámia fogpótlás: A legesztétikusabb mosoly helyreállítás

Esetbemutatás

Tartalomjegyzék

Időpontot kérek!

Contact Form Demo

Szerző / Kezelőorvos

Dr. Koncz Zsófia

Kezelést végző orvos

Clinident Fogászat – Budapest

Fogszabályozó kezelés előtt
Fogszabályozó kezelés után

A páciens mielőtt hozzám került volna, fogszabályozás kezelésen vett részt, Dr. Kerekes Fanni doktornő rendelésén. Egy évvel a kezelés elkezdése után pedig már meg is történt az alsó és felső esztétikus, rögzített készülékek levétele.

Az én rendelésemre a bal felső, első nagymetsző (21-es) sérülése miatt érkezett a hölgy. A letört fog mellett a szomszédos fogak, vagyis a mosolyzóna legfőbb szereplőinek a formai, alaki helyreállításáról is konzultáltunk, mivel az esztétikai probléma komplexebb megoldást kívánt.

Neked ajánljuk:

Letört fog vagy törött fog? Mi a különbség, melyik menthető?

Mitől törhet, repedhet el egy fog és mennyi fájdalommal jár?

Hogyan kezelik az elrepedt fogat és a töröttet?

Mit tehetünk otthon egy sérült, letört fog esetén?

Mi volt a diagnózis és mi volt a javasolt fogászati megoldás?

Mire hozzám került a páciens, addigra a felső metszőfogainak nagy részét tömés borította és sajnos már alig maradt ép foganyag. Ez, és a fogszabályozóval kijavított harapási probléma voltak a legfőbb okai annak, hogy újra és újra javítani, tömögetni kellett ezeket a fogakat.

Hosszú távon gondolkodva tehát, fontos volt, hogy a direkt héjaknál tartósabb és biztosabb megoldást találjunk, így a fémmentes préskerámia koronákat ajánlottam neki.

Mi volt az elképzelése, milyen megoldást szeretett volna?

Első lépésként egy mosolytervet készítettünk a felső kis- és nagymetszők (12-22) helyreállítására. A hagyományos lenyomatvétel helyett digitális szkennert használva, a mosolytervekből egy digitális wax-up, vagyis digitális tanulmányi minta készült.

A tanulmányi minta alapján pedig, az igen jelentős motiváló hatással bíró mock-up, a felpróbálható, ideiglenes mosolyminta készült el. Segítségével azt ellenőriztük le, hogy valóban tetszik-e a páciensnek az újonnan megtervezett mosoly.

A páciensem már a mosolyminta láttán meghatódott. S bár ennél a lépésnél még van lehetőség alakítani a formán, a hölgynek már nem voltak további kívánságai, így mi elkezdhettük a fogak előkészítését, ő pedig izgatottan várta a kész fogpótlást.

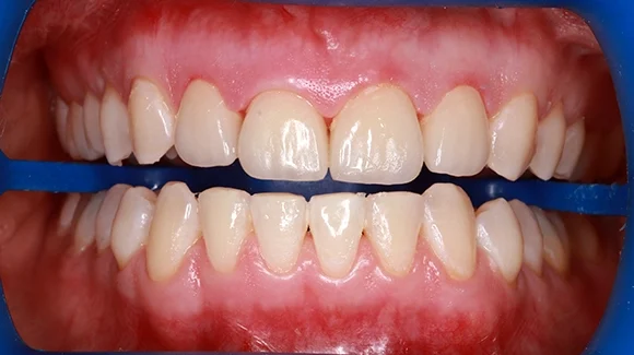
Préskerámia pótlás előtt
Préskerámia pótlás után

Hogyan zajlott végül a kezelés, mennyi idő alatt készült el a fogpótlás?

A lenyomatvételtől számítva 2 hét elteltével rögzítettük a 4 db préskerámia koronát a felső nagy- és kismetsző fogakra, illetve készítettünk még egy új éjszakai fogvédő sínt is, a fogak megváltozott formájának megfelelően.

A mosolytervezésnek köszönhetően az új esztétikus koronák formája tökéletesen passzol az arc karakteréhez, a régi elsárgult tömések helyett így fehérebb, élethűbb és 100%-ig természetes fogpótlást kapott a hölgy. Olyat, amiről addig csak álmodott.

A fogtechnikusnak a koronák éli részeinél a természetes hatást biztosító áttetszőséget – transzparenciát is sikerült megvalósítania, így még fiatalosabb karaktert is sikerült adnia a fogaknak. Ez az a hatás, amit töméssel már nem lehetett volna elérni, a préskerámia korona tehát a legjobb megoldás volt a fiatal hölgy mosolyának helyreállításához.

Fogblog

Jelentkezzen be vizsgálatra!