1133 Budapest, Tutaj u. 6/b, Cézár-Ház

Rendelési idő: hétfő-péntek 8.00 – 20.00

Rés zárása, mosoly rendezése, cirkónium koronák. Esetbemutatás

Esetbemutatás

Tartalomjegyzék

Időpontot kérek!

Contact Form Demo

Szerző / Kezelőorvos

Dr. Sas Krisztina

Kezelés végző fogorvos

Clinident Fogászat – Budapest

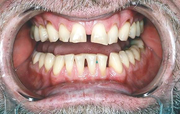
Kezelés előtt
Kezelés után

Milyen fogproblémával jelentkezett a páciens?

Páciensünk esztétikai problémával érkezett, a fogai formájával és a mosolya összképével volt elégedetlen. A fogai picik voltak, közöttük nagyobb rések, látványos diasztéma volt.

Mi volt az elképzelése, milyen megoldást szeretett volna?

Szép, egységes, rendezett mosolyt szeretett volna. A rések megszüntetését kérte, melyet héjkerámia pótlással képzelt el. Mivel külföldön dolgozott, ezért precízen tervezett kezelés menettel, pontos határidőkkel kellett kalkulálnunk a kezelés megtervezésekor.

 

Miért ideális megoldás a cirkónium fogpótlás ilyen esetben?

A cirkónium fogpótlások fémmentesek, rendkívül esztétikusak és nagy teherbírásúak. Komplex szájrehabilitáció esetén különösen előnyösek, mert:

Mi volt az elképzelése, milyen megoldást szeretett volna?

Szép, egységes, rendezett mosolyt szeretett volna. A rések megszüntetését kérte, melyet héjkerámia pótlással képzelt el. Mivel külföldön dolgozott, ezért precízen tervezett kezelés menettel, pontos határidőkkel kellett kalkulálnunk a kezelés megtervezésekor.

Mi volt a diagnózis és mi volt a javasolt fogászati megoldás?

Héjak készítésére sajnos nem volt lehetőség a páciens harapási formájából adódóan. A mélyharapás mellett pedig még bruxizmust, azaz a fogcsikorgatás tüneteit is beazonosítottuk nála. Mivel a harapásemeléssel is járó komplex kezelést nem vállalta, csak a rések zárását kérte a páciens, így a fogak előzetes, újra modellezése során 8db cirkónium korona (14-24) készítésében egyeztünk meg

Neked ajánljuk:

Esztétikai fogászat – Szép fogak, valódi elegancia, Clinident

A tökéletes fogsor készítésének 5 fő szempontja

Vívmányok és innovatív technikák klinikánkon

Esztétikai fogászati kezeléseink

Kezelés előtt
Kezelés után

Hogyan zajlott végül a kezelés, mennyi idő alatt érték el a végeredményt?

A kezelés terv szerint zajlott. Ultrahangos fogkőeltávolítással kezdtünk. A front fogak előkészítése, csiszolása után ideiglenes pótlást viselt a páciens, míg a fogtechnikai laborban elkészültek a koronák. Ez idő alatt még 6 db fogtömés is készült, a szuvasodások felszámolására.

A teljes kezeléssel 1 hónap alatt végeztünk, s mivel a harapási magasság rendezése nélkül történt az esztétikai beavatkozás, ezért egy éjszakai harapásemelő sín is készült számára, melyet a fogak és a fogpótlás megóvása érdekében használnia kell.

Fogblog

Jelentkezzen be vizsgálatra!