1133 Budapest, Tutaj u. 6/b, Cézár-Ház

Rendelési idő: hétfő-péntek 8.00 – 20.00

Rögzített fogszabályzó – Gyermek fogszabályozás fogváltás után – Clinident Fogászati Centrum

Esetbemutatás

Tartalomjegyzék

Időpontot kérek!

Contact Form Demo

Szerző / Kezelőorvos

Dr. Déri Katalin

Kezelést végző orvos

Clinident Fogászat – Budapest

 
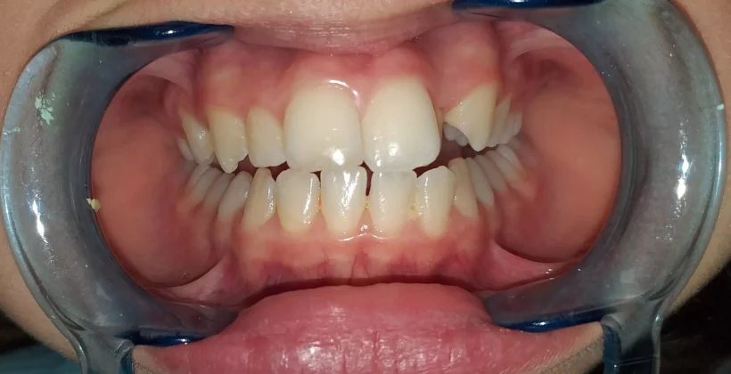
Kezelés előtt
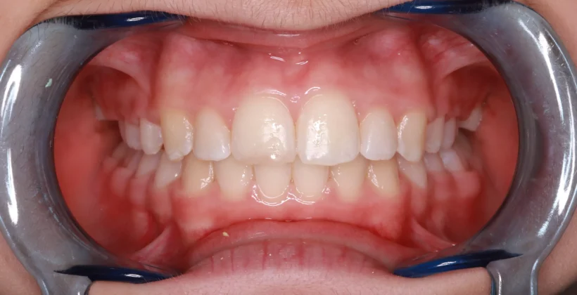
Kezelés után

Milyen problémával jelentkezett a páciens?

Fiatal, 14 éves páciensemet a felső fogsorának látványos esztétikai problémája zavarta. A bal oldali kismetsző foga a fogváltás után, palatinálisan helyezkedett el, vagyis nem a többi foggal egy vonalban, hanem beljebb a szájpadlás irányába bújt elő, így takarásba került, és olyan hatást keltett, mintha hiányozna egy frontfoga.

Mi volt az elképzelése, milyen megoldást szeretett volna?

A fogszabályozást illetően azzal a határozott elképzeléssel érkezett, miszerint rögzített, fém fogszabályozót szeretne.

Mi volt a diagnózis és mi volt a javasolt fogászati megoldás?

Vizsgálat után enyhe mélyharapást, felső fogív szűkületet, a bal felső kismetsző keresztharapását, fogtorlódást és az alsó frontfogak enyhe, helyzeti rendellenességét állapítottam meg.

Ezekre a problémákra – a páciens igényeit figyelembe véve-, a rögzített fogszabályozó kezelés volt a javasolt megoldás.

A fogszabályozás előtt általános fogászati állapotfelmérésen és fogkő-eltávolításon vett részt.

 

Neked ajánljuk:

Esztétikus, gyors fogszabályozás gyermeknek, felnőttnek

Megelőzéstől a kezelésig – Így történik az életkornak megfelelő fogszabályozás

Mindent a fogszabályozó készülékeinkről: Damon Clear, Signature III, Clear Aligner

A fogszabályozás menete – fontos tudnivalók!

Hogyan zajlott végül a kezelés, mennyi idő alatt érték el a végeredményt?

A fém, rögzített fogszabályzó felragasztását követően havonta találkoztunk aktiválások alkalmával. A fogszabályozóval való kezelés 14 hónapig tartott, ez idő alatt még egyszer részt vett dentálhigiéniai kezelésen. A rögzített készülék levételét követően végül egy fix és kényelmes retainert kapott a fogak belső felszínére, valamint egy kivehető retenciós sínt is átadtunk, melyekkel az elért eredmény rögzülését és megtartását segítjük.

Fogblog

Jelentkezzen be vizsgálatra!