1133 Budapest, Tutaj u. 6/b, Cézár-Ház

Rendelési idő: hétfő-péntek 8.00 – 20.00

Fogblog

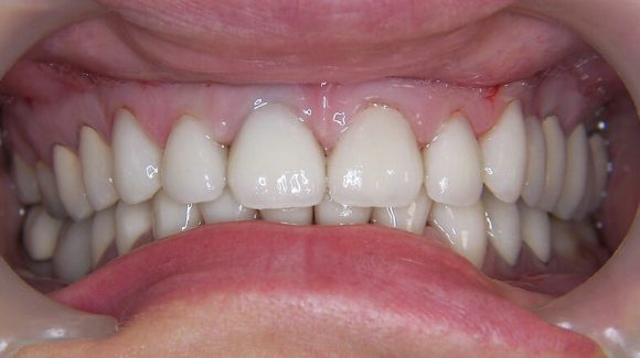
Esetbemutatás: Fogpótlás variációk híddal, implantátummal, fémmentesen
A Clinident Fogászati Centrum szakértő csapata fennállása óta több ezer páciensének adta vissza a felszabadult mosoly élményét. Klinikánkon az egyik legkedveltebb fogpótlás fajta a fog implantátum beültetésre készülő esztétikus korona és foghíd, mellyel akár örökre is elbúcsúzhatunk a nyomasztó foghiánytól.
Első konzultáció a Clinident fogászatán
A különböző fogászati problémákra, különféle kivehető és rögzített, fogakat és harapást szabályozó eszközöket használhatunk.
Mindenki csodás mosolyra vágyik, de ha ehhez fogszabályozásra van szükség, akkor sokakat elriaszt a tudat, hogy hosszú évekig kell egy nagy adag fémmel a szájban élni, sok fájdalmat és szenvedést elviselve.
A direkt héj egy olyan fog esztétikai megoldás, amely a mosoly gyors, drámai változását biztosítja minimál-invazív módon.
A csontpótlás, mint szájsebészeti beavatkozás elsőre ijesztőnek tűnhet, ám a megfelelő előkészületekkel és tervezéssel valójában egy rutinbeavatkozásnak számító műtétről van szó.
Ha egy fog koronája olyan mértékben sérült vagy szuvasodott, hogy egy egyszerű fogtöméssel már nem állítható helyre a stabilitása, akkor előbb az inlay fogtömést majd az esztétikus koronát ajánlják az orvosok. Különösen igaz ez akkor, ha a fogon előbb még gyökérkezelést is végeztek.
A Clinident Fogászati Centrum nem csak a felnőtt páciensek számára bizonyul remek választásnak, hanem a kisgyermekek részére is. A gyerek fogászat a kórházak steril és rideg környezetét elfeledtetve olyan helyszínt biztosít a kicsik számára, mely érdeklődésüknek és korosztályuknak is megfelelő.

Jelentkezzen be vizsgálatra!