1133 Budapest, Tutaj u. 6/b, Cézár-Ház

Rendelési idő: hétfő-péntek 8.00 – 20.00

Sikertörténeteink

A páciensünk esztétikai okok miatt kereste meg a klinikánkat. Szeretett volna picit hosszabb, mosolygáskor jobban látszó és fehérebb felső metszőfogakat.
Szürkés szuvasodás, letört fog és a régi kopott tömés csúfítja a mosolyod, cseréltetnéd a régi tömésedet, de rettegsz attól, hogy a kezelés fájdalmas lesz? A Clinident csapata a szuvas fogaid reparálását több éves, esztétikus kezelések területén szerzett tapasztalat alapján végzi. A fogtömés így garantáltan hosszútávú megoldást jelent a fogszuvasodás terápiájában.
Dr. Déri Katalin a Clinident Fogászati Centrumban dolgozó fogszabályozó szakorvos, aki a kezeléseket minden esetben egyedi diagnosztika és személyre szabott tervezés alapján végzi.
A páciens másik fogászatról érkezett hozzánk, előbb parodontológiai állapotfelmérésre és -kezelésre majd fogpótlások készítése konzultációra. Főleg a felső frontfogak formájára, méretére panaszkodott, illetve arra, hogy a koronák a jelentős mértékű ínyvisszahúzódás miatt már nem fedik a fogcsonkokat.
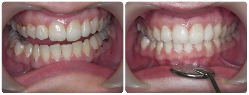
Páciensem esztétikai problémával érkezett az állapotfelmérésre. Zavarta a felső 4 frontfogának az összképe.
26 éves páciensemet az zavarta, hogy fogai jelentős mértékben torlódtak, ami nem csupán esztétikai szempontból volt zavaró, de még a fogak tisztán tartásában komoly nehézséget okozott.
A páciens a panaszos jobb alsó kisörlő fogával, az alsó és felső metsző fogak enyhe torlódásával és a felső metsző fogak alaki problémájával érkezett a klinikánkra.
2022. szeptember végén páciensünk mosolytervezésre jelentkezett be hozzánk.
A páciens, a 30-as éveitől a fogai állapotának gyors romlását tapasztalta.

Jelentkezzen be vizsgálatra!

Telefonos bejelentkezés

06 1 801 2250