1133 Budapest, Tutaj u. 6/b, Cézár-Ház

Rendelési idő: hétfő-péntek 8.00 – 20.00

Sikertörténeteink

A hölgy az állapotfelmérésre egy olyan mozgó fog miatt érkezett, ami történetesen a bal felső kismetsző fog helyére beültetett fogimplantátum volt.
Fiatal páciensem egy, a front fogáról leesett korona miatt keresett meg. A fog (22-es fog, felső kismetsző) épsége és a korona elfogadható állapota miatt a korona visszaragasztását megpróbáltuk, de néhány héttel később az eset megismétlődött.
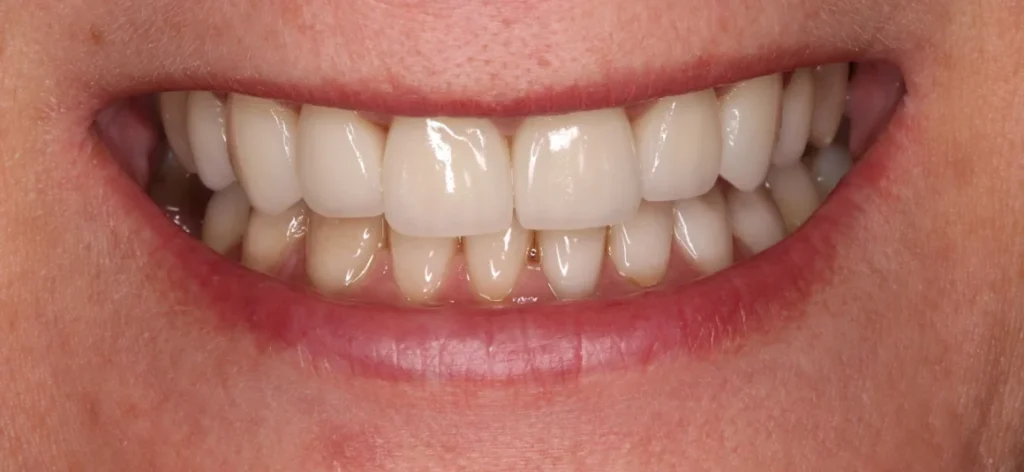
Páciensem fő problémája a felső fogsorának előnytelen külalakja volt
Páciensem azért keresett fel az első konzultáció alkalmával, mert a két felső nagymetsző fogának koronái nem tetszenek neki, illetve a felső foghiányát is szerette volna esztétikusan pótoltatni.
Páciensem esztétikailag elhanyagolt, letöredezett fogakkal érkezett a rendelőnkbe, állapotfelmérésre.
A hölgy a régi elhasználódott, elszíneződött fogpótlásait szerette volna lecseréltetni, melyhez a lehető legesztétikusabb fogkorona típust, a fémmentes cirkónium korona pótlást választotta.
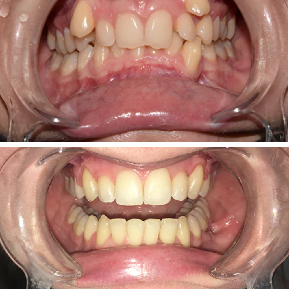
Páciensünk a fogai esztétikai problémájával, valamint a súlyos torlódás miatti nehéz tisztíthatósággal jelentkezett az állapotfelmérésre.
A páciens 2022. novemberében keresett meg a bedőlt, elszíneződött fogai okán, melyek miatt társaságban már jó ideje nem is szívesen mosolygott.
Páciensem foghéj cserék miatt jelentkezett be állapotfelmérésre, mivel a jobb felső nagymetsző fogán mozgott a porcelán héj.

Jelentkezzen be vizsgálatra!

Telefonos bejelentkezés

06 1 801 2250