1133 Budapest, Tutaj u. 6/b, Cézár-Ház

Rendelési idő: hétfő-péntek 8.00 – 20.00

Sikertörténeteink

Páciensem, ultrahangos fogkőeltávolítás után érkezett hozzám vizsgálatra.
Fogászati híd pótlásokat akkor készítünk, amikor a rágófunkció restaurációja a cél.
Fogászati implantátumra számos esetben szükségünk lehet. Nem csupán egy elromlott, majd elvesztett fog után válhat szükségessé a fogbeültetés. Műgyökérrel pótolhatjuk a hiányt akkor is, ha eleve csírahiánnyal küzdünk, azaz eleve sosem nőtt ki egy vagy több fogunk.
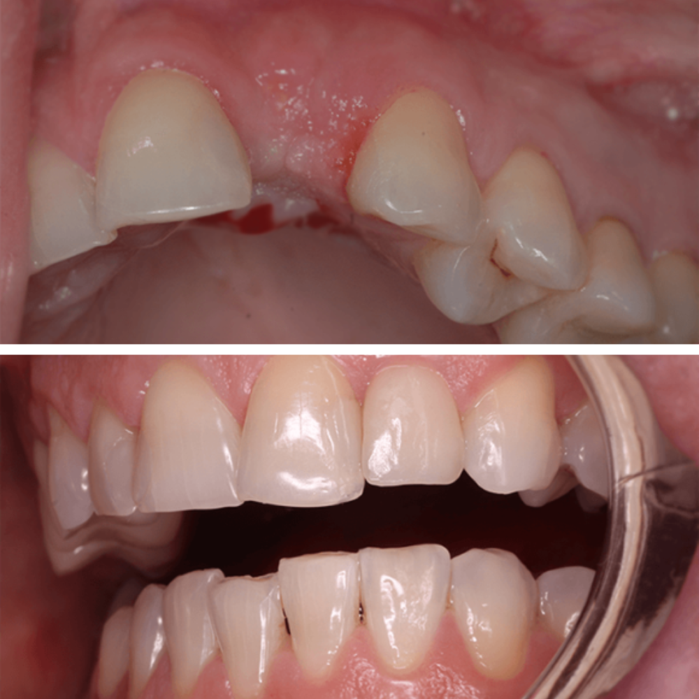
Páciensem 2013-ban keresett fel a bal felső kismetsző (22-es) fogának gyulladásával. Az akkor készült panoráma röntgen felvételen a fog gyökércsúcsa felől kiinduló, a fog környezetére is kiterjedő gyulladás volt megfigyelhető.
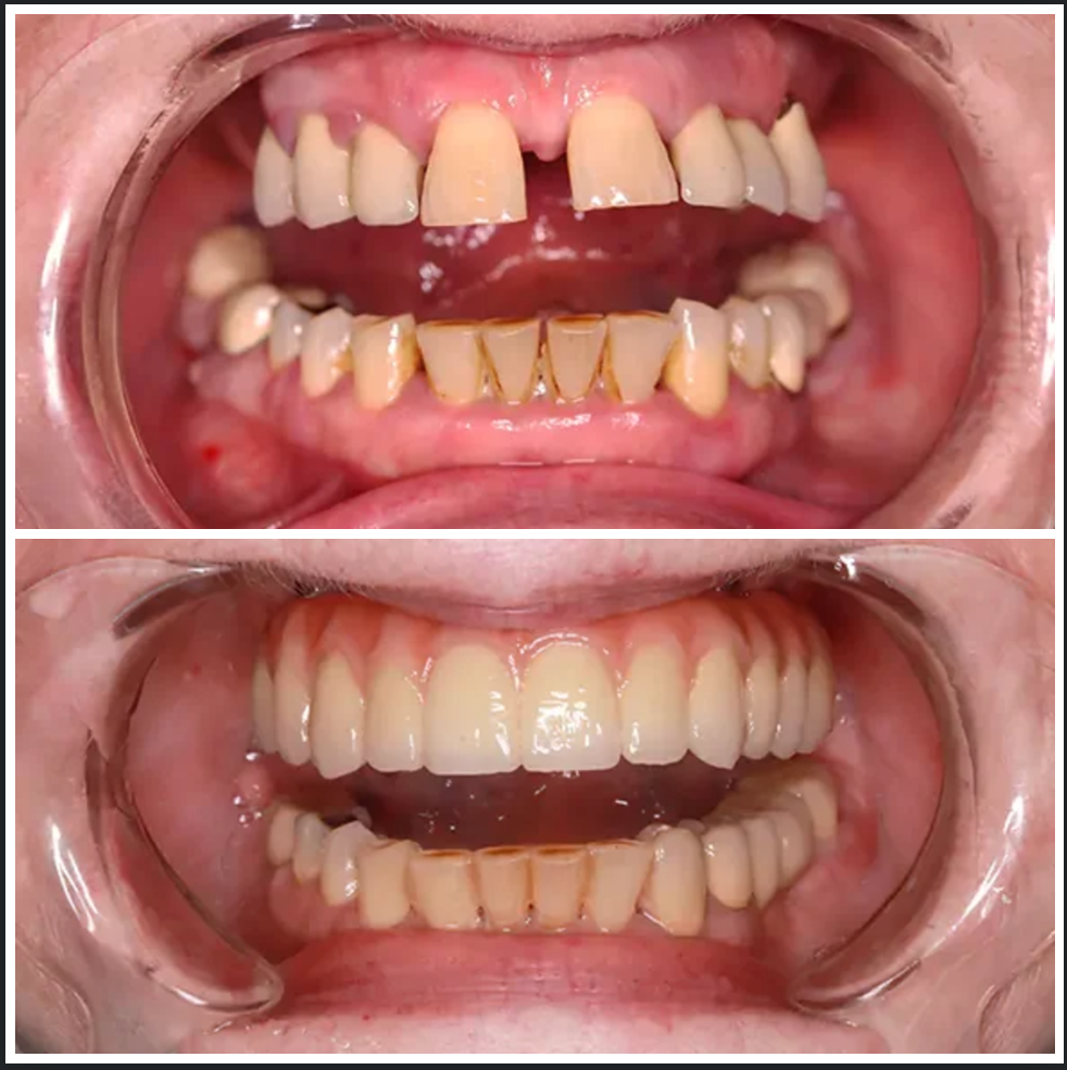
A hölgy azért keresett meg, mert a jobb felső hídja eltörött, az utolsó foga pedig kiesett. Mindezzel együtt pedig igen régen járt fogászati állapotfelmérésen és kezelésen.
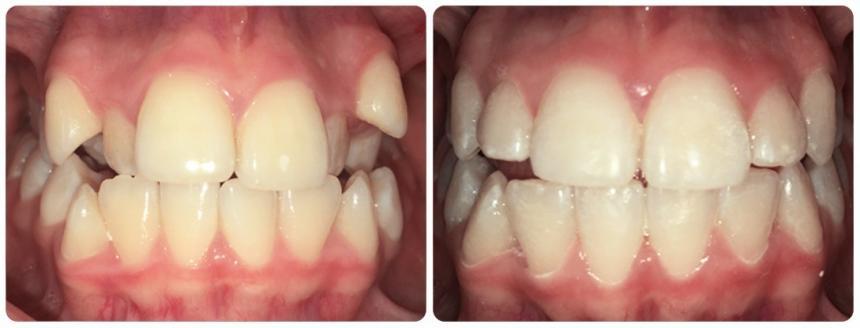
A fogszabályozás manapság már nemcsak, hogy modern és professzionális fogkezelési eljárás, de ugyanakkor trendi beavatkozásnak is számít mindazok körében, akik minimális beavatkozással maximális esztétikai hatást szeretnének elérni. A kor lényegében már mit sem számít, hiszen ahogyan a gyerekeknek úgy a felnőtteknek is lehetőségük van rendezni a kócos mosolyt.
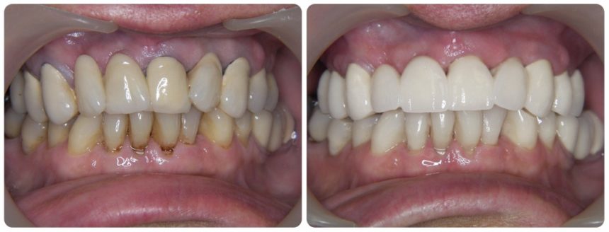
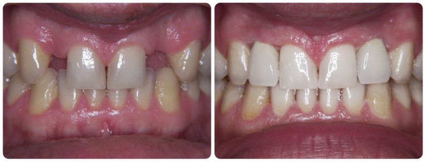
60 éves hölgy páciensem régi felső foghíddal, fogínygyulladás problémákkal érkezett, mely utóbbihoz gyakran még rossz lehelet is társul.
A fiatal, negyvenes évei elején járó hölgyet a felső metsző fogak állapota, színe, formája és tengelyállása zavarta.
A fiatal 23 éves hölgy azért keresett meg, mert nem találta elég szépnek a mosolyát.

Jelentkezzen be vizsgálatra!

Telefonos bejelentkezés

06 1 801 2250