1133 Budapest, Tutaj u. 6/b, Cézár-Ház

Rendelési idő: hétfő-péntek 8.00 – 20.00

Sikertörténeteink

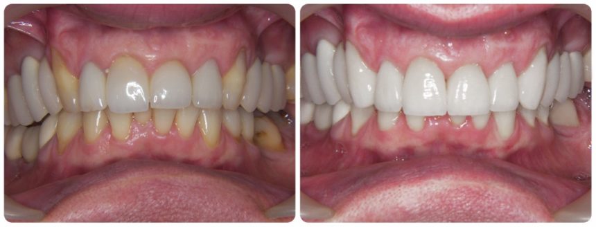
A hölgy esztétikai problémával érkezett a fogászati állapotfelmérésre és konzultációra.
Páciensem teljes szájrendezés céljából látogatott el a rendelésemre.
Páciensem egy letört fog problémájával keresett meg, de teljes állapotfelmérést végeztünk nála, s végül minden olyan fogat belefoglaltunk a tervébe, melynek kezelése szükségessé vált.
Páciensünk torlódott fogazattal és két alsó rágófog hiányával kereste fel rendelőnket az első konzultáció alkalmával.
A digitális fogászat az jelenti, hogy fogpótlások tervezési folyamata a számítógépek, szoftverek, különféle programok segítségével zajlik.
mikor a mosolyunk változásért kiált, többféle fogászati kezeléssel is elérhetjük a vágyott esztétikumot.
50 éves, férfi páciensem fogazata elhanyagolt állapotban volt: a jelentős foghiány, a mozgó fogak, a nehezített rágás és étkezés, a beszéd érthetősége is probléma volt.
33 éves hölgy páciensemet tinédzser korában kalcium felszívódási autoimmun zavarral diagnosztizálták, így fogai gyorsan és könnyen romlottak el. Jellegzetes bulldog harapása mellett, az alsó állcsonton elöl csupán 7 foga, felül 4 foga maradt.
Esetünkben egy olyan páciens érkezett hozzánk, aki elsősorban a megjelenését érintő frontfog-problémákat szerette volna megoldani, de a teljes száj-egészségügyi állapot rendezését is fontosnak tartotta.

Jelentkezzen be vizsgálatra!

Telefonos bejelentkezés

06 1 801 2250