1133 Budapest, Tutaj u. 6/b, Cézár-Ház

Rendelési idő: hétfő-péntek 8.00 – 20.00

Sikertörténeteink

A hölgy egy 1,5 éves komplex fogszabályzó kezelésen volt túl, mire hozzám érkezett. Tőlem az első két frontfogának szín- és formabeli korrekcióját kérte.
A páciens mielőtt hozzám került volna, fogszabályozás kezelésen vett részt, Dr. Kerekes Fanni doktornő rendelésén.
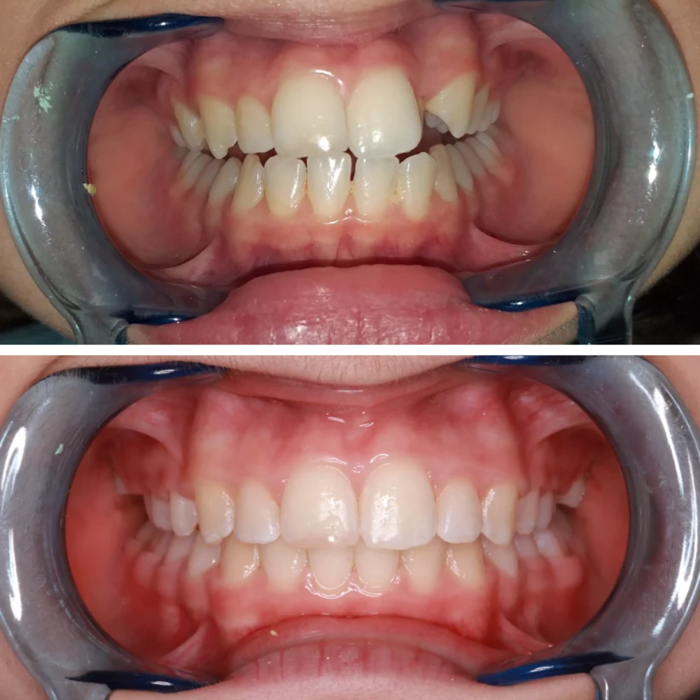
Fiatal, 14 éves páciensemet a felső fogsorának látványos esztétikai problémája zavarta.
Páciensünk esztétikai problémával érkezett, a fogai formájával és a mosolya összképével volt elégedetlen. A fogai picik voltak, közöttük nagyobb rések, látványos diasztéma volt.
Dr. Kopacz Dániel a Clinident Fogászat fogorvosaként a komplex szájrehabilitációkat mindig funkcionális és esztétikai egységként kezelte. Munkájában kiemelt szerepet kapott a hosszú távon stabil fogpótlások megtervezése, a páciens egyéni adottságaihoz és elvárásaihoz igazítva.

Jelentkezzen be vizsgálatra!

Telefonos bejelentkezés

06 1 801 2250